Are dental implants worth it
How painful is getting a dental implant?

Essentially, this is the answer to your question, â € œDoes dental implants hurt? Â € Local anesthesia will numb the nerves around the dental implant area. With numb nerves, you can expect not to feel any pain during your dental implant procedure. You may feel pressure at times, but it should not cause you discomfort.
Do they put you to sleep for dental implants?
Collection. Patients are commonly groomed during dental implant surgery to protect against pain during this invasive treatment. This may interest you : Dental Implants Atlanta Ga. Most patients are placed under conscious sedation while local anesthesia is placed in the area of the mouth operated on.
How long does it take for gums to heal after dental implants?
After the abutment is installed, your gums must heal for about two weeks before the artificial tooth can be attached. On the same subject : Why Are Dental Implants So Expensive.
What hurts more tooth extraction or implant?
Most people who have received dental implants say that there is very little discomfort associated with the procedure. See the article : How Much Does Full Mouth Dental Implants Cost. Local anesthesia can be used during the procedure, and most patients report implants as less pain than tooth extraction.
What is the downside of dental implants?

The most common disadvantage of having a dental implant is that it is a costly procedure and may not always be covered by insurance providers. Additional potential disadvantages of dental implants include: Pain, swelling and bleeding due to surgery. Complications of anesthesia such as nausea, vomiting and drowsiness.
Is there a cheaper alternative to dental implants?
The Cheapest Alternative Alternative Mini Implants instead of Conventional Dental Implants: Advantages and Limitations. Dental implants have proven to be a viable and healthy solution for many who suffer from tooth loss due to causes ranging from health decisions to genetic misfortune.
How long do teeth implants last?
How long do dental implants last? With regular brushing and flossing, the implant screw itself can last a lifetime, assuming the patient receives regular dental checkups every 6 months. However, the crown usually only lasts for about 10 to 15 years before it might need to be replaced due to wear and tear.
Why dental implants are bad?

When oral hygiene fails, the teeth (or dental implant) and surrounding tissue (gum, periodontium, and alveolar bone) are subject to high concentrations of microbial products, which can cause decay, gingivitis , periodontitis, or peri-implantitis.
Who is not suitable for dental implants?
People who take certain medications, such as steroids or drugs that suppress the immune system, may not be suitable candidates either. And people with certain habits, such as people who grind or close their teeth severely may put too much pressure on the implants, causing long-term damage.
Does food get under dental implants?
Food Should Never Become Under Stan Kimball’s Single Tooth Implant, it will be completely impossible for food to get stuck underneath it. There are no openings around the dental implant where food can become stuck. The crown will fit your mouth perfectly, with no gaps around the tooth and gum where food can get stuck.
Do gums grow around implants?
The answer is yes, gums can retreat around dental implants. Only, when gums retreat on dental implants will the implants reveal themselves instead of tooth root. A gum recession with dental implants can look anesthetic, make patients feel self-conscious, and even lead to implant failure.
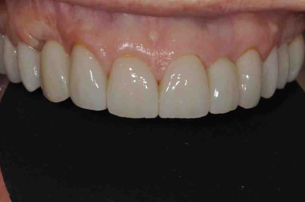
Is it worth getting a dental implant?

When are dental implants necessary? If you don’t want missing dentures, bridges, or crowns to replace missing teeth, dental implants are then needed. If you have missing teeth and you do not replace them, the consequences can become extreme. Dental implants are also necessary for the aesthetic benefits.
Why are tooth implants so expensive?
If you have been wondering why dental implants cost so much, the reasons are: Dental Implant is a cosmetic and complex process. You pay for the dentist’s skills. Implant posts and dental crowns add to the cost.
How long can you go without a tooth implant?
If you are planning to get dental implants after tooth extraction, you will usually need to wait at least 10 weeks after tooth extraction before dental implants can be placed. This waiting period allows the mouth to heal after the tooth extraction surgery.
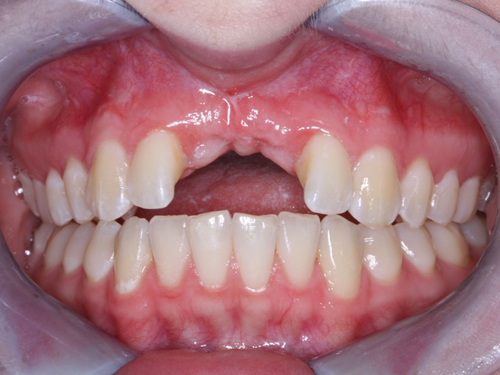
What happens if you have a tooth pulled and don’t replace it?
When a gap is left by a missing tooth, the surrounding teeth have a tendency to move because that tooth no longer helps keep everything in line. Eventually, teeth may become crooked or new gaps may appear between teeth. Another issue that can happen is an ultra-explosion.


Comments are closed.