Are veneers painful?
Although Supersmile toothpaste is safe and effective for porcelain veneers, your cosmetic dentist may recommend a prescription fluoride toothpaste, such as Colgate’s Prevident 5000, for daily at-home care, especially if you are cavity-prone, have roots, or have multiple teeth. restorations like…
Do veneers hurt afterwards?
Most patients with two to four veneers have little or no pain after the procedure. Patients with eight or more veneers may experience soreness in the gums and possibly the jaw. See the article : What Is The Definition Of General. This discomfort is usually mild and can be relieved with over-the-counter medications.
How do you feel after getting veneers? The answer is that when done correctly, porcelain veneers should feel completely natural in your mouth. You shouldn’t even notice them when you talk, eat, or do anything with your teeth. They do not require special care and should look and feel like normal teeth.
How long does pain after veneers last?
For most people, the discomfort associated with veneers subsides within one to two weeks. However, in rare cases, veneers can cause long-term problems. Read also : Oral Doctor Near Me. Look out for warning signs such as: pain or tenderness that lasts longer than two weeks.
Is it normal to have pain after veneers?
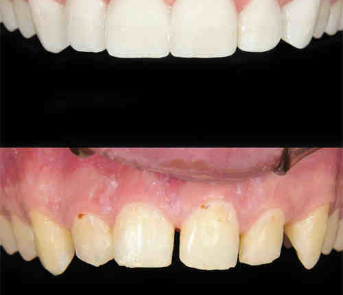
After porcelain veneers It is normal to experience hot and cold sensitivity. Teeth need some time to heal after tooth structure is removed and are sensitive in the meantime. Your gums may also be sore for a few days.
Why are veneers so painful?
Veneers and Pain Porcelain veneers require tooth reduction. The more the tooth structure is reduced, it can cause pain and inflammation. An anesthetic with oral sedation is used for this procedure if the patient is very anxious. Remember, once you have veneers installed, it is NOT a reversible process!
How long does it take to recover after getting veneers?
Most patients take about two weeks to adjust to the new veneers. Tooth sensitivity is a common symptom of recovery. To deal with this discomfort, consider using a toothpaste designed for sensitive teeth. Avoiding very hot or cold foods and drinks can also help.
Why are veneers so painful?
Veneers and Pain Porcelain veneers require tooth reduction. The more the tooth structure is reduced, it can cause pain and inflammation. This may interest you : General Dentistry Tucson Az. An anesthetic with oral sedation is used for this procedure if the patient is very anxious. Remember, once you have veneers installed, it is NOT a reversible process!
Do your teeth rot when you get veneers?
One of the most frequently asked questions Burkburnett Family Dental asks about porcelain veneers is whether they will damage your teeth. Being one of the most popular cosmetic dentistry procedures, we get asked this question quite often. Simply put, the answer is no. Porcelain veneers do not damage teeth.
Is it normal for veneers to hurt?
After porcelain veneers It is normal to experience hot and cold sensitivity. Teeth need some time to heal after tooth structure is removed and are sensitive in the meantime. Your gums may also be sore for a few days.
Is it normal to hurt after veneers?
After porcelain veneers It is normal to experience hot and cold sensitivity. Teeth need some time to heal after tooth structure is removed and are sensitive in the meantime. Your gums may also be sore for a few days.
Do veneers hurt at first?
No! Most patients feel no pain or discomfort during treatment. This is because the procedure is minimally invasive. The only preparation required for veneers is to remove a thin layer of enamel from the teeth.
How long does it take for veneers to settle in?
Most patients report that their adjustment to porcelain veneers takes about two weeks. After two or three weeks, patients should be used to the feel and function of the veneer.
How long does it take to recover from getting veneers?
Most patients take about two weeks to adjust to the new veneers. Tooth sensitivity is a common symptom of recovery. To deal with this discomfort, consider using a toothpaste designed for sensitive teeth. Avoiding very hot or cold foods and drinks can also help.
How long do your teeth hurt after veneers? Any sensitivity you experience in the days following veneer placement may be due to the procedure itself, not your altered enamel. In most patients, the sensitivity disappears within a few days to a few weeks.
Is it painful to get veneers?
No! Most patients feel no pain or discomfort during treatment. This is because the procedure is minimally invasive. The only preparation required for veneers is to remove a thin layer of enamel from the teeth.
How long do teeth hurt after veneers?
For most people, the discomfort associated with veneers subsides within one to two weeks. However, in rare cases, veneers can cause long-term problems. Look out for warning signs such as: pain or tenderness that lasts longer than two weeks.
Do they put u to sleep for veneers?
Using nitrous oxide, oral conscious sedation, or IV sedation, patients can relax completely as their teeth are prepared for veneers. Sedation reduces the discomfort the patient may feel and keeps them relaxed.
How long do veneers take from start to finish?
Average Timeline for Porcelain Veneers On average, the porcelain veneers process takes about 3 weeks from consultation to final installation. After the initial consultation, your temporary veneers are made in our cosmetic laboratory.
How long is recovery time after veneers?
How long do these problems last? For most patients, the adjustment period for porcelain veneers lasts about two weeks. During this short adjustment process, these issues will gradually improve each day. After two weeks, most patients should feel fine with the porcelain veneers in place.
What to expect after getting veneers?
Recovery after the initial placement of the veneer around the gums may be a little sore, and you may also have some swelling and redness. Some patients report experiencing some tooth sensitivity due to the bonding agents used to place the veneers.
What can you not do after getting veneers?
Foods that can and cannot be eaten with veneers
- Hard foods, including ice, raw fruits and vegetables, or candy.
- Sticky foods, including caramel.
- Toasted bread.
- Difficult to chew meat.
- Food coloring such as tomatoes, cola, berries, ketchup, tea or coffee.
What to expect after getting veneers?
Recovery after the initial placement of the veneer around the gums may be a little sore, and you may also have some swelling and redness. Some patients report experiencing some tooth sensitivity due to the bonding agents used to place the veneers.
What can you not do after getting veneers?
Foods that can and cannot be eaten with veneers
- Hard foods, including ice, raw fruits and vegetables, or candy.
- Sticky foods, including caramel.
- Toasted bread.
- Difficult to chew meat.
- Food coloring such as tomatoes, cola, berries, ketchup, tea or coffee.
How long does it take for veneers to settle in?
Most patients report that their adjustment to porcelain veneers takes about two weeks. After two or three weeks, patients should be used to the feel and function of the veneer.
How long do your teeth hurt after veneers?
For most people, the discomfort associated with veneers subsides within one to two weeks. However, in rare cases, veneers can cause long-term problems. Look out for warning signs such as: pain or tenderness that lasts longer than two weeks.
Is getting veneers a good idea?
Veneers are a good idea for several reasons. Perhaps the greatest benefit of dental veneers is their ability to create straighter, whiter teeth. Because they completely cover the surface of the teeth, dental veneers can do a better job of restoring a bright, healthy smile than teeth whitening or other treatments.
Are your teeth rotting with veneers? One of the most frequently asked questions Burkburnett Family Dental asks about porcelain veneers is whether they will damage your teeth. Being one of the most popular cosmetic dentistry procedures, we get asked this question quite often. Simply put, the answer is no. Porcelain veneers do not damage teeth.
What are the downsides of veneers?
Cons of veneer
- Veneers are permanent.
- They can make teeth more sensitive to heat and cold.
- While porcelain veneers are less susceptible to staining, composite veneers can stain.
- Veneers are not a solution to failing teeth. Talk to your dentist about other options, such as crowns.
How long are veneers supposed to last?
The lifespan of dental veneers depends on whether you have porcelain or composite veneers and how well you care for them. Porcelain laminate veneers can last 10-12 years. Composite resin veneers need to be replaced sooner as they last about 4-8 years.
Why you should not get veneers?
The main downside is that the teeth sometimes need to be shaped, so it’s not generally a reversible procedure. But veneers give you the smile everyone wants. Starting with the cons – veneers are irreversible, expensive and need to be replaced after 15-20 years.
Are there long term effects of veneers?
Porcelain veneers can wear, chip, chip or fall off over time. If the veneer is damaged, it must be replaced to protect the tooth from decay. Increased tooth sensitivity and possible trauma: Some patients experience increased tooth sensitivity after having porcelain veneers installed.
How long are veneers supposed to last?
The lifespan of dental veneers depends on whether you have porcelain or composite veneers and how well you care for them. Porcelain laminate veneers can last 10-12 years. Composite resin veneers need to be replaced sooner as they last about 4-8 years.
How often do veneers need replacing?
When dental veneers are installed by qualified cosmetic dentists, such as those at The Dental Boutique, you can expect them to last a long time. While veneers are not immortal, they are considered a permanent fixture and can last anywhere from 10 to 30 years with proper care.
Do you have to replace veneers every 10 years?
The average lifespan of a dental veneer is about 10 years. With proper care and treatment, this period can be extended up to 20 years. You may need to replace your veneers early if any of the following occur: Your dental veneers are cracked or chipped, or simply worn.
Are veneers worth getting?
Because veneers can last 10 years or more, they are a long-term investment in your ability to feel good about your smile. Many people find this value to be worth the cost and effort involved in implementing them.
Do veneers give you perfect teeth?
Because they are super white, these veneers help you achieve a whiter smile. In addition, veneers can be carefully shaped to give the teeth a uniform appearance.
Are veneers worth the investment?
Only you can decide whether porcelain veneers are worth the investment based on your budget, goals, and the issues you want to correct. However, if you’re not happy with the way your smile looks, porcelain veneers are a great way to boost your confidence for a decade or more.
How much is a full set of veneers?
The industry average for a single porcelain veneer ranges from $900 to $2,500 per tooth. Based on this price, a set of porcelain veneers can range from $7,200 to $20,000.
Can veneers be done in one day?
Thanks to CEREC (Chairside Economical Restoration of Esthetic Ceramics) technology, you can actually do cosmetic reconstruction, including veneers, in one day. While not every case can be done in one day, Dr. Sean Drower offers same-day cosmetic dentistry to hundreds of his patients.
How many hours does it take to install veneers? Answer: How long is the veneer procedure? The first meeting is quite short (about 15-30 minutes) to make initial calculations. The second visit is about two hours (depending on the number of veneers) and finally the third visit is 1-2 hours for final cementation.
How many appointments do you need for veneers?
The procedure for installing dental veneers usually requires three to four visits to the dentist. FIRST MEETING: consultation, diagnosis and treatment options.
How long is the process of getting veneers?
A popular procedure, veneer placement takes about three weeks for most people and involves three separate trips to the dentist’s office. This relatively simple treatment can be a permanent solution to improving the appearance of your smile.
How often do you have to get veneers checked?
If you’re the type to skip a visit to the dentist, you won’t be able to do that again with veneers. Every six months you must go to the dentist for a check-up.
What needs to be done before getting veneers?
The process begins with an initial inspection and consultation. Your dentist will evaluate your smile, determine if you are a good candidate, and discuss a plan for moving forward. If you need fillings or dental implants, they need to be taken care of first.
How fast can you get veneers?
On average, the porcelain veneers process takes about 3 weeks from consultation to final placement. After the initial consultation, your temporary veneers are made in our cosmetic laboratory. Then, after tooth preparation and placement of temporary teeth, your custom veneers are made.
How much is a full set of veneers?
The industry average for a single porcelain veneer ranges from $900 to $2,500 per tooth. Based on this price, a set of porcelain veneers can range from $7,200 to $20,000.
How long does it take to get a veneer put on?
A popular procedure, veneer placement takes about three weeks for most people and involves three separate trips to the dentist’s office. This relatively simple treatment can be a permanent solution to improving the appearance of your smile.
How long do veneers in a day last?
These veneers require some care from your dentist during the day. This will be detected at your regular dental check-up. Veneers per day should last at least 5 years, but with careful care they can last much longer.
How long do veneers last on front teeth?
The lifespan of dental veneers depends on whether you have porcelain or composite veneers and how well you care for them. Porcelain laminate veneers can last 10-12 years. Composite resin veneers need to be replaced sooner as they last about 4-8 years.
Do veneers fall off?
Age of veneers Conservatively speaking, veneers last more than 10 years in most cases. Over time, the veneers slowly separate from the teeth as the adhesive bond weakens over time, causing the veneers to loosen and fall off.
Sources :




Comments are closed.