Can dental implants fail
What are the signs of dental implant failure?

Why dental implants are bad?
Implants can wear out eventually or without good oral hygiene. Dental implants are not suitable for everyone, few patients may not be eligible for tooth replacement due to their bone health. Dental implants generally require healthy, dense bones. Strong bones in place are a parameter to support dental implants.
How do you fix a failed dental implant?
In severe cases, your dentist usually needs to perform a bone graft procedure before replacing the faulty implant. Read also : Teeth Transplant. Bone grafting is a process in which new bone is grown.
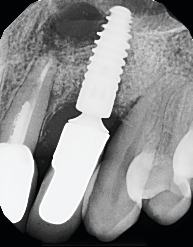
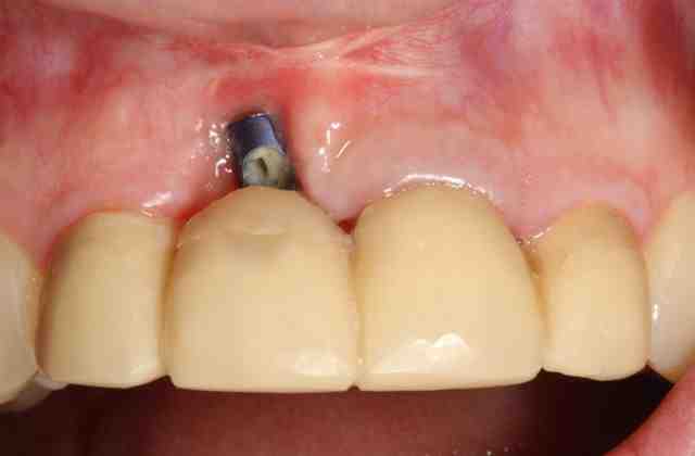
Can a failed dental implant be replaced?

How can I get money back from failed dental implants?
Request reimbursement from your current dentist. Find a qualified dentist to complete the bone graft and place the implant. See the article : Low Cost Dental Implants. Your new dentist might be willing to contact your old dentist and help you get a refund. You can threaten to contact the dental board and file a complaint about the implantation procedure.
What happens if a dental implant fails?

Can I sue my dentist for bad implant?
The malpractice claim Dental implants can constitute negligence if the dentist has not performed to the best of their ability or knew that an injury could occur. On the same subject : How To Draw A Mouth With Teeth. He or she has a duty of care to the patient as part of his or her dental performance.
How long do dental implants last?

Is it better to have a crown or an implant?
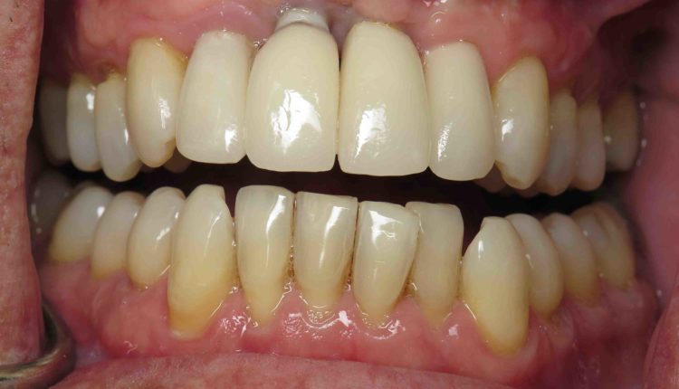
Installing a crown is a simpler procedure and requires less time and material to set up. As a result, this is the most profitable option up front. However, a dental implant can last longer than the crown and will not need to be replaced.
How often do dental implants have to be replaced?
When maintained with proper hygiene and controls, dental implants can last a lifetime. The crown attached to the implant will typically need to be replaced every 15 to 20 years, although it can last for decades in some cases.
Do teeth implants hurt?
It is common for patients to experience pain after the dental implantation procedure. Initially, the discomfort may last one to two days. However, some patients may continue to experience pain at the implantation site for up to 10 days.
 
			 
											



Comments are closed.