Can smokers get dental implants
Can smokers teeth be fixed?

Will teeth stains go away after quitting smoking?
Tobacco can actually stain the skin and nails, as well as the teeth. Read also : How Long Does It Take To Be A Dentist. The good news is that these stains fade when you stop smoking.
Will my teeth whiten after quitting smoking?
How to Brush Smoker’s Teeth. Smoking cigarettes will stain your tooth enamel over time, but if you quit, there is good news. See the article : Mini Implant Cost. You can reverse some of these effects. You have effective whitening treatments at your fingertips, both professional and even prescription.
Will teeth get whiter after quitting smoking?
Leaving it on will help reduce your sensitivity to serious health problems such as heart disease or lung cancer. Read also : What Kind Of Dentist Does Dentures. If you continue to smoke and whiten your teeth more and more, you will have a constant struggle with whiter teeth that will not give the result you want and will cost you a small fortune.
Can a dentist tell if you smoke?

How long does it take for your gums to heal after quitting smoking?
If the individual stops using smoke-free tobacco, the appearance of oral tissue returns to normal within two to six weeks. In addition to developing changes in oral tissues, the use of smokeless tobacco can damage oral tissue and teeth in the area of the mouth.
Can a dentist tell if you don’t brush?
If not, if your dentist is brushing your teeth, they know a lot more about you, even if they don’t say so. Every time you visit a dentist in Loveland, there are a few key things we’re looking for: cavities, gum disease, and oral cancer, among others.
What do dentists hate the most?
Dental staff reveal 10 things that drive patients crazy
- Do not clean before the appointment. …
- Do not replace toothbrushes often enough. …
- Brush your teeth well. …
- No wires. …
- Drink sugary drinks every day. …
- Go to the dentist to complain about what you hate. …
- I hope your appointment will be free. …
- Refusing X-rays.
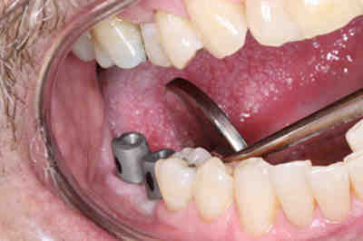
Does smoking affect teeth implants?

Why does smoking cause implants to fail?
Smokers who receive implants are much more susceptible to bacterial infection. Smoking reduces the success rates of bone grafts, which are sometimes necessary for patients to receive dental implants. The effect of peri-implantitis after implantation is much greater among smokers.
What is the downside of dental implants?
The most common disadvantage of receiving a dental implant is the expensive procedure and it is not always covered by insurance providers. Potential additional disadvantages of dental implants include: Pain, inflammation, and bleeding due to surgery. Nausea, vomiting and drowsiness like complications from anesthesia.
Who is not suitable for dental implants?
Does food get under denture implants?
Foods that are stuck between dental implants and baby teeth can also be affected. This potentially more serious situation occurs when food waste or particles are forcibly combined in these spaces. You will usually notice more swelling and pain if the food is damaged.
Is it better to get dentures or implants?
Dental implants are a permanent replacement for teeth, and have become a popular alternative to dental implants in recent years. Although they cost more than teeth whitening, they last longer and save you money over time. Dental implants have fewer visits to the dentist because they are easier to maintain than dental ones.
How can I get free dental implants?
The Cosmetic Dentistry Grants (CDG) Program provides grants to people who need cosmetic services such as dental implants. Although the CDG does not pay the full cost of acquiring dental implants, its partial subsidies can make implants much cheaper.




Comments are closed.