Cosmetic dentistry 94541
Is the cosmetic dentistry grant program legit?

What if you can’t afford dental implants?
There are some resources you can research for financial help. The first is your periodontist. On the same subject : Pictures Of Stained Teeth After Braces. Many journalists are willing to set up funding options, such as a payment plan. They may also know about insurance plans that can help you cover the cost of your implants.
How can I fix my teeth with no money?
Take a look at these three great options for finding financial help for dental work. To see also : Tooth Crowns Before And After.
- Dental financing. If you have to finance the cost of dental work, there are some options available. …
- Dental aids. …
- Online fundraising. …
- Dental schools. …
- Public dental clinics. …
- Smiles change lives. …
- Lifeline Dental Network. …
- United Way.
What do you call a cosmetic dentist?
What are permanent fake teeth called?
Implant prostheses or permanent prostheses are dentures that attach to the bone of the jaw. These implant prostheses are not removable like regular dental prostheses. On the same subject : Small Teeth With Braces. This means they feel exactly like natural teeth.
What is the difference between cosmetic dentistry and general dentistry?
Both general dentists and cosmetics can fill cavities and add bridges, crowns and veneers. Both can also apply nails and perform other restorative procedures. … A general dentist takes care of the basic dental needs of your entire family, while a cosmetic dentist focuses more on the aesthetics of the patient’s smile.
What are fake celebrity teeth called?
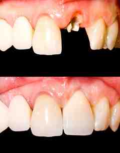
& quot; The veneers are a thin porcelain shell that attaches to the natural tooth to cosmetically enhance the smile & quot; Sam Saleh, D.D.S. he tells SELF. Veneers can disguise a gap, lengthen short teeth and cover up a crooked smile.
Can you get cosmetic dentistry on the NHS?

How much is a full set of veneers?
If you get a complete set, the plates cost between $ 10,800 and $ 15,000 for a set of six and an average cost of $ 14,400 to $ 20,000 for a set of eight. Since flossing is a cosmetic procedure to improve the appearance of the teeth, they only make the teeth on the front part that can be easily seen.
How much does a bridge cost for 1 tooth?
Dental bridges are an affordable dental replacement option. The cost of dental bridges varies, and with insurance, costs are significantly reduced, but most patients pay between $ 300 and $ 1,000 for a bridge that replaces a single tooth. You will pay more for a porcelain bridge than for a metal or porcelain smelting bridge.
Can you get veneers with bad teeth?
Porcelain veneers are an excellent solution for patients whose teeth are crooked, cracked, stained or have gaps between them, because these problems are, in general, merely aesthetic.
How much is cosmetic dentistry in South Africa?

How much are veneers for front teeth?
According to the Consumer Dentistry Guide, traditional veneers can cost an average of $ 925 to $ 2,500 per tooth and can last 10 to 15 years. Unprepared veneers cost between $ 800 and $ 2,000 per tooth and last between 5 and 7 years.
How much does fixing your teeth cost?
The average cost ranges from $ 100 to $ 400 per tooth depending on the degree of repair involved. While it’s cost effective, the link may not last as long as other cosmetic options, so be sure to consider this in the overall cost when comparing the different options.
How much does cosmetic teeth surgery cost?
Inlays and inlays retain as many healthy teeth as possible and are an alternative to crowns. This cosmetic dentistry procedure costs between $ 650 and $ 1,200 per tooth. Dental implants are titanium replacement dental roots inserted into the bone cavity of the missing tooth.




Comments are closed.