Cosmetic dentistry fillungs
Can cosmetic dentist do fillings?

How can I fix my teeth with no money?
The good news is that there are ways to fix bad teeth for free …. Some of these include: See the article : New Dental Procedures.
- Clean your teeth.
- X-rays.
- Dental examination.
- Stainless steel crowns.
- Complete.
- Connecting
- Drainage source.
- Synthetic teeth (can be full or partial)
Do cosmetic dentists do cleanings?
The dentist has this basic training as a dentist. They can perform all the necessary procedures that a dentist can perform, such as sun exposure, dental hygiene, and other essential techniques. See the article : Cosmetic Dentistry Portland Or. Both major dentists can fill cavities and add bridges, crowns, and veneers.
How much do cosmetic fillings cost?

Do veneers ruin your teeth?
One of the questions we receive at Burkburnett Family Dental about jewelry is if they damage your teeth. As one of the most popular cosmetic dentistry treatments, we find this question quite often. In short, the answer is no. Lent veneers do not damage your teeth.
How much does a full smile makeover cost?
Depending on some dental offices, the average cost of a full smile can be around $ 800 to $ 1,500 per tooth. This may interest you : Cosmetic dentistry draper. This calculation does not include the cost of oral surgery, treatment time, or turban length if required.
Can veneers fix rotten teeth?
So do veneers fix cavities? No. You can’t use veneers to decay tooth decay.
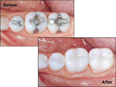
What is cosmetic dental filling?

Can I push my front teeth back?
Of course the answer is yes, although these front teeth need to be back in place. If you only have front teeth, for example 2 front teeth then you may want to consider a dental brace or other treatments.
How do I get perfect teeth shape?
8 Great Ways To Improve A Smile
- Whitewashing. When it comes to getting a white and light smile, there are a variety of toothbrushes that you can try. …
- Crown. A crown is a great way to cover teeth that have changed color or that do not look good. …
- Payers. …
- Ondullawa. …
- Braces. …
- Tin. …
- Brush and Leather. …
- Regular dental visits.
What is the best cosmetic dental procedure?
Tooth decay veneers have been the gold standard in dental cosmetics for many years. Veneers are some thin mouthpieces that fit the face of the teeth. The tooth enamel is applied gently, and then the impression is taken.
How long do composite fillings last?

Are front teeth fillings noticeable?
You can find toothpaste made from a variety of materials, such as gold, silver amalgam, ainzila, and mayonnaise. The gold and silver amalgam toothpicks are very popular, while the toothpaste filling materials are usually combined with your normal teeth.
How long do white fillings last on back teeth?
The white does not last as long as the silver, and on average lasts about 7-10 years. Although, they still have a very strong, successful treatment for most pores.
Are white fillings strong?
The joy of modernity is stronger than in previous decades. … They are, however, very strong and have been filled with amalgam for many years. Modern white fins are also now very strong and can last for many years when properly installed and when used in the right conditions.



Comments are closed.