Cosmetic dentistry front teeth crowns
How long do crowns last on front teeth?

Can you bite with front crowns?
Get your crown and in a week or two, you’ll start to forget that it’s even there. Biting on the crown should not be biting on any other teeth. Read also : Cosmetic Dentistry Orlando Fl. It should be strong. But avoid getting the cap and use it for the first two days.
Are dental crowns worth the money?
Dental crowns are a good long-term option because they are durable and usually last at least 5-15 years, which increases patient satisfaction with treatment. This may interest you : Bonding Teeth Before And After. Treatment with dental crowns has a high success rate compared to or without treatment of dental restoration methods.
Are crowns more expensive than veneers?
Crowns are generally considered necessary because they are used to cover or replace a damaged or missing tooth. Sheets are usually a cosmetic option. On the same subject : Filing Teeth At Home. Because crowns offer a more complete solution, they tend to be slightly more expensive than sheets.
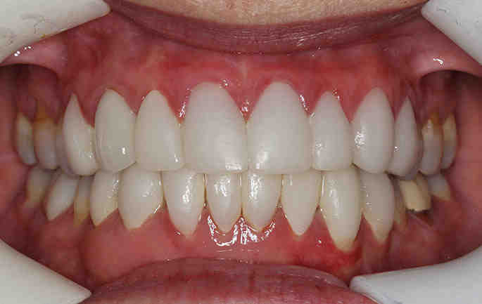
Do crowns on front teeth look natural?

Why do my crowns look GREY?
Many people with porcelain metal crowns on their front teeth complain about the appearance of gray or dark teeth compared to natural teeth. Above the metal layer of these crowns the porcelain layer is often inserted into a somewhat transparent layer. This gives the tooth a gray change, especially with direct light.
Why is my crown turning GREY?
Dental crowns fixed to a metal pole, be they metal or porcelain composites, can have shades of gray in natural light. … Other causes of gray staining on the crown include tetracycline staining and silver fillings on the underlying teeth.
Do crowns and veneers look the same?
This restoration is very thin and looks like an artificial fingernail. The veneers are designed to enhance the appearance of your front teeth. .
Are crowns good for front teeth?

Can crowns be whitened?
Since crowns cannot be peeled, your smile can be as white as your crown. If possible, peel your teeth before putting on your crown to ensure a proper match of shade. Matching a shade before treatment is the best way to get the results you want because you have the most control before your crown lasts.
How is a crown fitted to a front tooth?
INDEX_7
How much do front teeth crowns cost?

Which type of crown is best for front teeth?
INDEX_8
How much does a front tooth crown cost UK?
INDEX_9




Comments are closed.