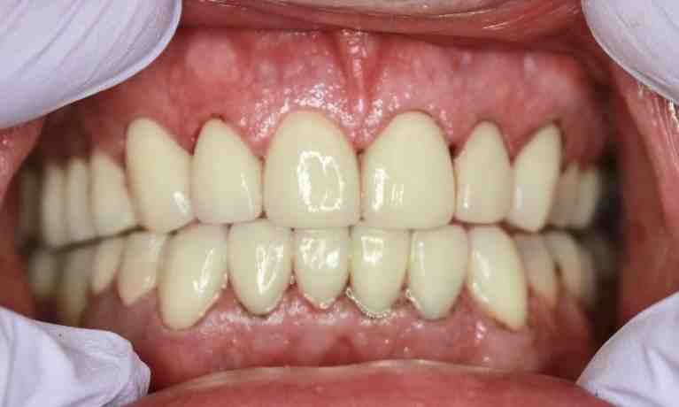
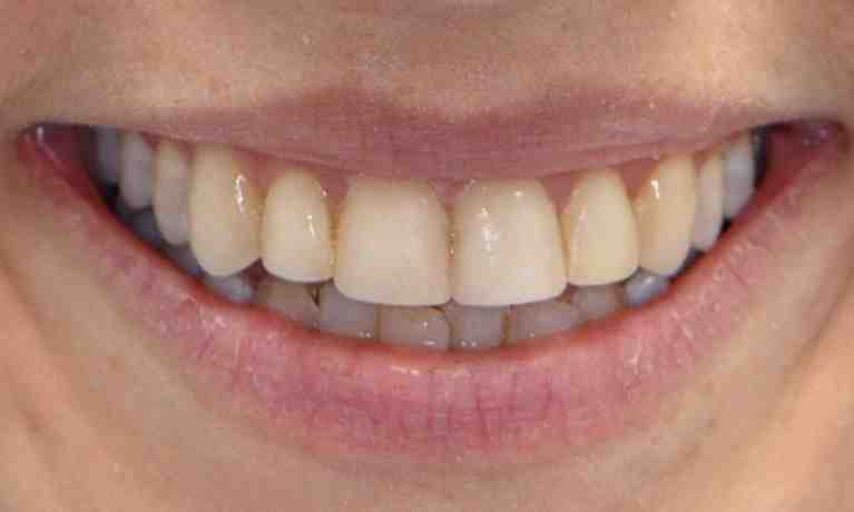
Cosmetic dentistry gallery
How much is cosmetic surgery for teeth?

Do veneers ruin your teeth?
One of the most frequently asked questions about porcelain veneers in Burkburnett’s family dentistry is if they damage your teeth. As one of the most popular cosmetic dental procedures, we get this question quite often. See the article : Cosmetic dentistry dublin. Simply put, the answer is no. Porcelain veneers do not damage your teeth.
Can veneers fix rotten teeth?
So veneers improve cavities? No. Read also : Cosmetic Dentistry Memphis. You cannot use veneer to cover tooth decay.
How can I fix my teeth with no money?

Can dentist fix really bad teeth?
The dentist may reattach the broken tooth or fill the chip or crack by bracing. One advantage of tying is that it is usually one and one operation. Read also : White Smile Dental. The patient only needs to go for treatment or correction once.
Why are my teeth rotting and breaking?
Tooth decay can occur when acid builds up in plaque on a tooth. Allowing plaque to accumulate can cause additional problems, such as tooth decay (holes in the teeth), gum disease, or bulges that are pus clumps in the teeth or gums.
What if I can’t afford a dental implant?
You can research some resources for financial help. The first is your periodontist. Many periodontists are willing to set up funding options, such as a payment plan. They can also find out about insurance plans to help cover the cost of your implants.
What is the best cosmetic dental procedure?

Which is better dental implants or veneers?
If you are missing teeth, your dental health and your health benefits are generally the best choice for dental implants. For those who have natural teeth but want to cosmetically repair them, veneers are the best option.
What to do if my teeth are rotting?
If fluoride treatment is not possible, the dentist can remove the broken parts of the tooth and make either a dental filling or a dental crown to fill the cavities. The dentist uses a composite resin or amalgam filler, such as mercury, silver or other types of metal, as the filling.
How much does it cost to fix decayed teeth?
Although fillings are more expensive than basic dental checks, they will improve both the cavities and the health of your mouth in the future. Most filling procedures have stable prices in the following ranges: $ 50 to $ 150 for one silver amalgam filling. $ 90-250 for one tooth-colored composite filling.
How much is a set of veneer teeth?

How much would 4 veneers cost?
Veneers are often not covered by insurance as they are considered a cosmetic procedure. According to the dentist’s consumer guide, traditional veneers can cost an average of $ 925-2,500 per tooth and can last 10-15 years. Unmanufactured veneers cost about $ 800-2000 per tooth and last 5-7 years.
How much is a full set of teeth implants?
For example, the cost of one implant can range from $ 1,000 to $ 3,000. In contrast, the cost of full-mouth dental implants can range from $ 7,000 to $ 90,000. That’s an average of about $ 34,000 for a whole set of dental implants across the country.
Do they shave your teeth for veneers?
Unprepared veneers do not require your natural teeth to be removed or shaved, and the veneers are installed directly on top of your existing natural teeth. … If the veneer does not fit perfectly, the dentist can trim it underneath.




Comments are closed.