Cosmetic dentistry reviews in temecula ca
How do I find a reputable cosmetic dentist?

- How To Find A Cosmetic Dentist There are many criteria on which you can choose a cosmetic dentist. …
- Decide what you want. …
- Ask for referrals. …
- Check the dentist’s registration certificate. …
- Ask your dentist about continuing education. …
- Won awards. …
- Ask how much time they spend on cosmetic dentistry. …
- Search for reviews.
Who is the dentist on 10 years younger?
Dr. Uchenna Okoye is the resident dentist at the Makeover Show 10 years younger in 10 days and works with the Knight Dental Design Laboratory to create the impressive transformations. See the article : Crowns Dentist Cost. A case study sees Dr Okoye fix the teeth of patient Amanda, a former police officer.
Who is the best orthodontist in the UK?
Orthodontists from Top Doctors UK To see also : Cosmetic Dental Clinic.
- Dr. Panagiotopoulou, Lida. Psychiatry.
- This is Ng, Aaron. Ophthalmology.
- Professor Drew, Philip. Beauty surgery.
- Dr. Junaid, Syed. Radiology.
- Dr. Sivakumar, Shivan. Medical oncology.
Is cosmetic dentistry bad for your teeth?

Tooth cutting and cracking are other potential issues. Patients may end up with a jaw discomfort, an uneven bite, a jaw click, or a jaw fatigue. To see also : Teeth Fix. Some people experience tooth coloring even after cosmetic dentistry procedures.
How can I get white teeth in one day?
10 ways to whiten teeth in one day and keep gums healthy
- Brush with baking soda. …
- Uses hydrogen peroxide. …
- Uses Apple Cider Vinegar. …
- Activated charcoal. …
- Powdered milk and toothpaste. …
- Coconut oil Pulling with baking powder. …
- Essential Oils Whitening Toothpaste. …
- Turmeric Whitening Toothpaste.
Can dentists shave your teeth?
Dentists can remove the peeled edges of the teeth, known as melamelones, to create a more even tooth line. A dentist may also suggest brushing teeth for medical reasons, including repairing your bite or preparing a damaged tooth for a crown.
Do they shave down your teeth for veneers?
For traditional composite and porcelain windows, have your dentist shave your email. They usually weigh about 0.5 mm for porcelain veneers and slightly less for composite fibers. Getting your teeth removed for windows is a lengthy procedure because you cannot replace the enamel.
How do you pay for cosmetic dentistry?

Another way to pay for expensive cosmetic treatments is through third party financing companies like GreenSky® and Proceed Finance. These companies offer short and long term loans to cover the cost of cosmetic procedures like dental implants (which may not be covered by dental insurance).
Can I pay my dentist in installments?
Dental Payment Plan (Capitation Plan) – A payment plan provided by a dentist that allows you to pay a monthly amount for each treatment received. Benefits: With a dental payment plan, or capitation plan, you pay a regular monthly amount, which can be an effective way to spread the cost.
What is the difference between a dentist and a cosmetic dentist?
Basically, a general dentist will make sure your teeth are healthy and strong, and a cosmetic dentist will make sure your smile is “camera ready”. They can eliminate small flaws and improve the look of your smile so that you always feel confident about your teeth.
Does Centrelink pay dental?
FREE general and preventative dental care is available at NSW Public Dental Clinics for: All children under 18 years of age. Adults who have one of the following current Centrelink franchise cards: Retirement Concession Card.
How much does a cosmetic tooth filling cost?

Also known as toothpaste fillings, cosmetic fillings are made from composite resin, which is more expensive and looks better than your traditional amalgam fillings. Cosmetic fillings cost about $ 135 to $ 240 per tooth.
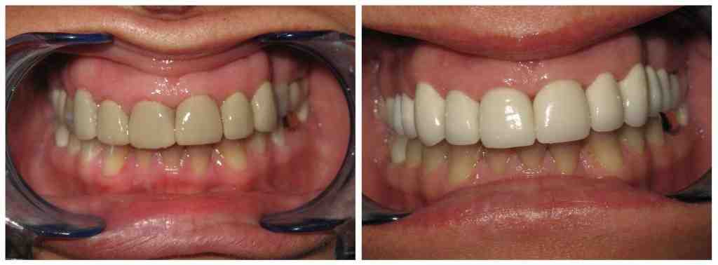
How much is a smile makeover?
| Teeth Whitening | $ 250 – $ 350 |
|---|---|
| Porcelain Crown | $ 800- $ 1200 away |
| Tooth color cosmetic bond | $ 150 – $ 400 |
| Invisalign | $ 3800 – $ 4800 |
| Smile Makeover | $ 3500-15000 |
Can you get veneers on rotten teeth?
You can not use veneers for toothpaste cover-up. Dr. Wolfe needs to remove the tooth impression first before you think you are going to have veneers.
Do veneers ruin your teeth?
One of the most frequently asked questions we get at the Burkburnett Family Dental about porcelain veneers is if they ruin your teeth. As one of the most popular cosmetic dentistry treatments, we get this question quite often. Simply put, the answer is no. Porcelain windows do not ruin your teeth.


Comments are closed.