Cosmetic dentistry shaping and bonding
How much is teeth contouring and bonding?

Dental Rehabilitation: Cost According to American Cosmetic Dentistry, the cost of dental retouching (also known as contouring) is usually between $ 50 and $ 300 before each tooth (and if !) Insurance helps cover it.
Is composite bonding cheaper than veneers?
Cost: Toothpaste is often more expensive than glass. However, keep in mind that they will not resist dirt, so you may need more cosmetic procedures to make your teeth look whiter. Read also : Dental Bonding Before And After. You will also need to change the connector more than you would need to change the insulation.
Can dentists shorten your teeth?
Reduction – Advanced cosmetic dentists can use diamond cracks and diamond straps to carefully cut your teeth. This may interest you : Dental Crowns Before And After. Your cosmetic dentist may need to squeeze your teeth by placing them on the sides and shortening them by cutting off the edges of the bite.
What is cosmetic tooth bonding?

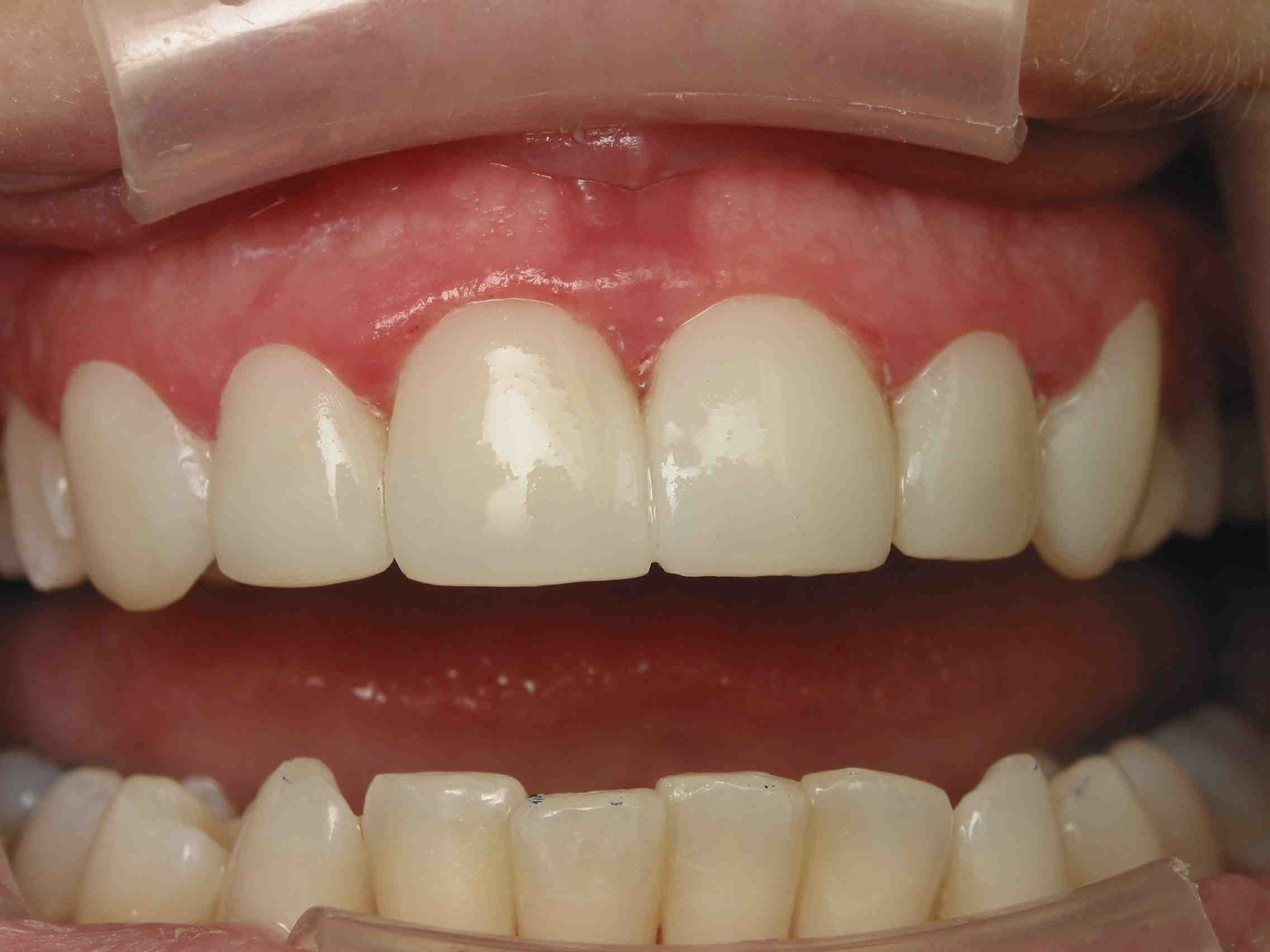
Dental floss (dental floss) is a method of cosmetic dental repair to repair a tooth that has been torn, broken, or otherwise broken. See the article : Dental Procedure Prices. It also helps with discolored teeth, dental gaps, and even lengthens the toothpick shorter than the rest.
Does composite bonding look natural?
What will the appearance and longevity of the Integration System look like? Today’s blended products are applied in layers, engraved on the teeth to create the desired shape, size and bottom. This can lead to very natural results.
Is dental bonding a cosmetic?
Tooth decay may be the answer to your smile. Dental flossing is a cosmetic procedure in which your teeth are coated with a new colored dye to enhance your smile. Caring can improve the appearance of teeth that have been torn, broken, cracked, stained or have gaps between them.
How much does it cost for a full set of veneers?
How much does a full adultery cost? Patients usually get a discount if they buy wholesale. However, it is very expensive. A full mouthpiece can cost between $ 10,000 and $ 40,000 or more.
How much does cosmetic bonding cost?

On average, you can expect to pay for about $ 300 to $ 600 per tooth. You will need to change the connection every 5 to 10 years. Check with your dental insurance provider before making an appointment. Some insurers consider a dental implant procedure and will not pay for it.
Can you remove bonding from teeth?
Yes, The Dental Guarantee Can Be Removed – The Process Is Reversible Dental flossing is a treatment option. You do not need to remove any of your natural enamel.
Can composite bonding straighten teeth?
Compound blends can also be used to naturally straighten teeth, this means we make the front surfaces of your teeth lined up and look straight.
Can composite bonding fix crooked teeth?
Combined Tooth Decay The integrated blend can help improve the appearance of slightly curved teeth. By adding some resin in strategic places, your dentist can hide or wear the wrong tooth, improving the appearance of the smile -caddayntaada.
What is dental bonding or cosmetic bonding?

Dental implants are a cosmetic dental procedure that involves placing the teeth in a combination of custom ingredients. It can correct many common complaints, including: Differences in teeth. Teeth irregularly shaped or torn.
How long does dental bonding last on front teeth?
Dental implants usually last between three and 10 years before touch therapy is needed. This may vary for each patient depending on individual habits. For example, individuals chewing on ice or other hard objects can cause the connective tissue to collapse.
What is the procedure for bonding teeth?
The dentist will chew on the surface of the teeth and apply liquid in the refrigerator. These procedures help with dental implants. The color of the teeth, which looks like salt, is applied, dried, and adjusted to the desired shape. The material is hardened with light (usually blue) or laser.
Can bonded teeth be whitened?
Although connective tissue does not respond to whitening agents such as teeth, there is an appropriate solution. Simply change the connecting material at the same time or within a week or two of your whitening teeth to make sure the combination matches the shade of the teeth. It is easy to attach to the teeth.




Comments are closed.