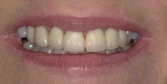
Cosmetic implant dentistry 4550 holly
What is the movie the dentist about?

How many years does it take to be a dentist?
It usually takes eight years to become a dentist: four years to earn a bachelor’s degree as an undergraduate and four years to earn a DDS or DMD in dental school. To see also : Face Lift Dentistry Cost. If you are interested in specializing, you will also need to complete a dental residency (more on that below).
Who plays the dentist in PayDay 2?
Breaking Bad publisher Gustavo Fring has recruited PayDay 2 505 Games publisher for the next expansion of the game. Actor Fring plays Giancarlo Esposito & quot; The Dentist & quot ;, new contact. See the article : Cosmetic dentistry jagged teeth. It’s about to star in PayDay 2’s next DLC, The Big Bank Heist, which is set to launch on June 17th.
What does the dentist do to take care of your teeth?
The dentist or hygienist will clean and polish your teeth, using tiny dental tools such as a tooth scraper, mirror, and special toothbrush. On the same subject : Best Cosmetic Dentist. The tooth scraper removes plaque (say: plak) from your teeth.
Why the dentist is scary?

In most cases, people with dentistry do so because of previous traumatic experiences at the dentist. These experiences may include difficulties from painful procedures and procedures. The fear can stem from a bad interaction with a dentist and from the way the dentist’s attitude is perceived.
Is being a dentist scary?
The work we do is very stressful. It’s physically tiring, and it’s also emotionally exhausting, since you’re dealing with anxious patients all day. You look at rotten teeth all day and listen to the sound of scratching your teeth (you get used to it).
Is it normal to cry at dentist?
Many dentists become uncomfortable and unsure of what to do when a staff member or patient starts crying. Tears – your own and others – are part of the practice of dentistry.
Why do so many people fear the dentist?
Results. Research evidence suggests that the causes of dental fear, dental anxiety or dental phobia are related to semantic factors such as direct learning from traumatic experiences, vicarious learning through significant others and the media, and endogenous factors such as inheritance and personality traits.
Why did the dentist go to jail?

Hoverboard Equestrian Dentist, Fraud Offense Detected. In their case against Seth Lookhart, Alaska prosecutors posted a video of the dentist on a hoverboard while pulling a tooth.
Do they pull teeth in jail?
While in prison, they have a constitutional right to dental care, but the courts have given little guidance on the services that institutions must provide. If a tooth or gum problem is causing more than the slightest pain, facilities are needed to treat it, said David Fathi, director of the ACLU National Prison Project.
What happened hoverboard dentist?
Seth Lookhart was convicted of Medicaid fraud and other crimes after a video of his hoverboard stunt went viral.
How much is an emergency dentist appointment?
Expect between $ 200 and $ 600 if anesthesia is needed, or $ 75 to $ 300 for a non-surgical emergency extraction.
Is the dentist a true story?

The Dentist (1996) Directed by Brian Yuzna, The Dentist inspired the story of the dentist / serial killer Nick Rex. The films see Dr. Alan Feinstone (Corbin Bernsen) is a dentist as well as an obsessive perfectionist, who slowly loses his grip on reality.
Who murdered the dentist?
Hongli Sun jurors, 43, were found guilty of the murder of Dr. Xuan Liu as well as a felony assault for injuring a woman who attempted to intervene during an attack on July 18, 2015 outside a medical building off Barranca Parkway in Irvine.
Which serial killer was a dentist?
| Glennon Engleman | |
|---|---|
| Education | DDS, Washington Univ. School of Dental Medicine (1954) |
| Job | Dentist |
| Inspired | Monetary gain |
| Criminal charge | Capital murder 5 count |




Comments are closed.