Do dental implants discolor
Do dental implants get stained?

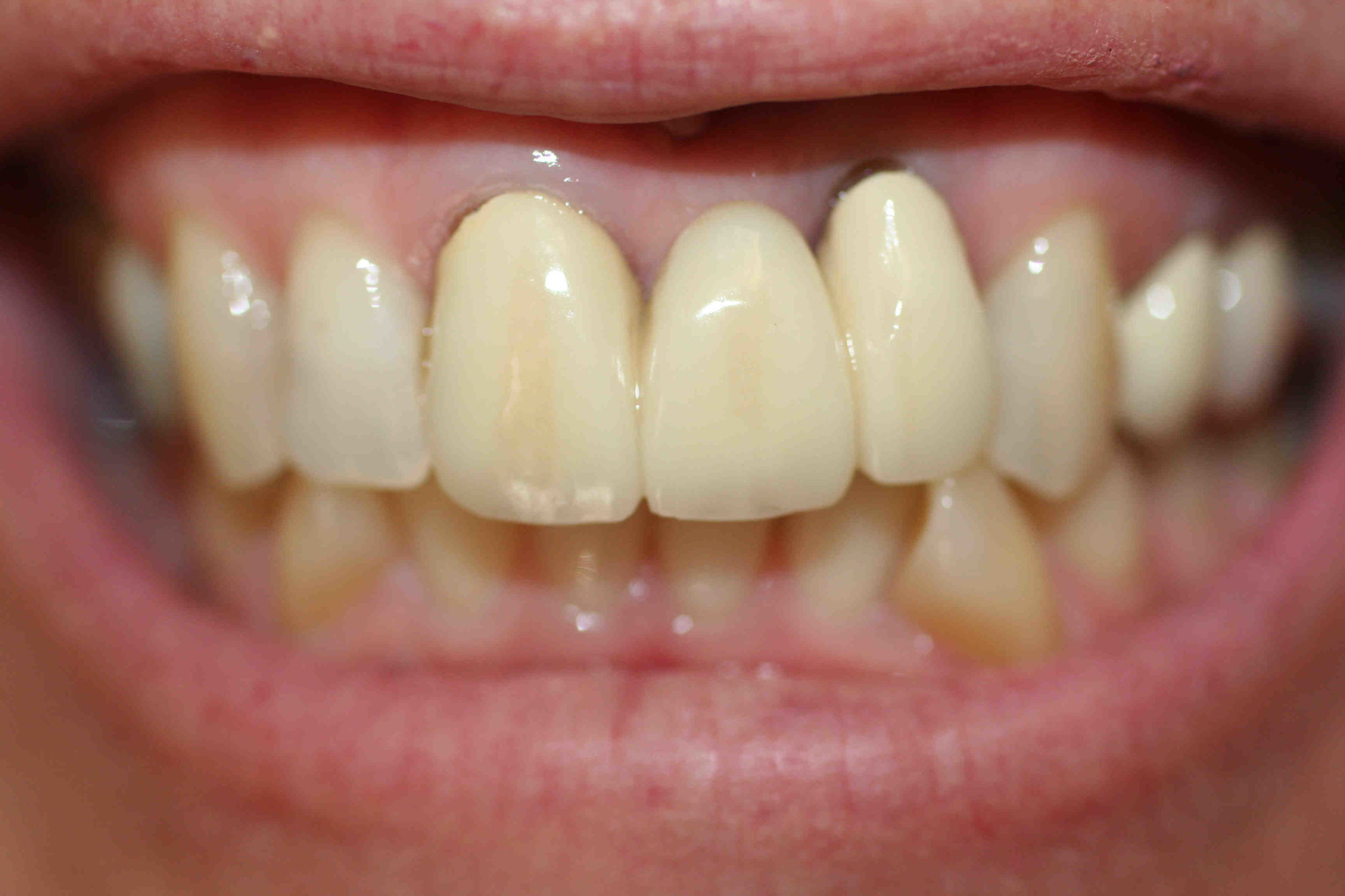
In short, the answer is yes. Like your natural teeth, dental implants have an outer layer of protection that keeps them in perfect condition. Although enamel has dirt-resistant properties, extensive damage can negatively affect it and lead to discoloration.
Does food get under implants?
DENTAL CHILDREN EAT AS PERMANENT TEETH So do not assume that you will be limited to certain foods as you have other dental options. Read also : Could dental implant hit nerve.
Can coffee stain dental implants?
DRINKING LONG DRINKS That said, note that just as coffee and tea can contaminate natural teeth, they will do the same dental implants, giving them an unpleasant yellow color. Read also : What is a dental implant abutment.
Can dental implants change color?
Even the whitening teeth done by your dentist do not change the color of the implant. Any type of toothpaste should be done before implantation. Read also : Cheapest Dental Implants Near Me. Hemorrhagic agents only work on the structure of the natural teeth, which means they are not as effective as glass.
Can I choose the look of my dental implants?
Dental implants are specifically designed to model (and enhance) the appearance of your natural teeth, including coloring. We will never give you a whiter or darker crown than the rest of your teeth. Once the process is complete, you may even find it difficult to identify the implant.
Do tooth implants hurt?
It is normal for patients to experience some pain after dental surgery. Initially, the discomfort may last for one to two days. However, some patients may continue to experience pain at the injection site for up to 10 days.
What is the best way to clean dental implants?
For the kidneys
- Clean it at least twice a day with a soft toothbrush.
- Use very little toothpaste.
- Brush the underside and around the incision crown.
- Use a coated toothbrush to clean hard-to-reach areas.
- Wipe off every day with an unbalanced tape
- Use the recommended oral irrigation.
How do you remove stains from dental implants?

When the outer enamel of the false teeth is damaged, the dirt can start to come out. Unlike natural teeth, which can be cleaned with harmful toothpaste or whitened with a toothpaste or laser to remove them, dental implants will require professional treatment in the form of cleansing, resurfacing. -shoot, or even change.
Are dental implants removable for cleaning?
Patients who cannot remove their implants ie – one that has four or more implanted teeth have different challenges when it comes to cleaning their teeth. Since the clamp is not removable, it must be cleaned separately. – Use a water pump with an adjustable flow.
Do dental implants have to be removed to clean?
Cleaning the dental replacement it supports is important for cleaning natural teeth, as both rely on healthy cells around them for support. Bacterial (plaque) bacteria accumulate in the crowns of the incisors as they do in natural teeth, and must be removed daily from the home.
Is hydrogen peroxide safe for dental implants?
Hydrogen peroxide extraction also helps prevent bacteria and infections. Rinse regularly with plenty of hydrogen peroxide which is the lifeblood of your skin – it is good for your skin and teeth. Toothpaste healing is important. The “lid” in your mouth should always be clean and shiny.
Can a dental implant be whitened?

If you are considering installing a dental implant, keep in mind that the implant crown cannot be verified. If you want a brighter smile than you currently have, you should brush your teeth before putting on a dental implant so that your dental crowns match the color of your natural teeth.
Does baking soda whiten the teeth?
Baked soda is good for whitening teeth because it is very thin, which helps remove dirt from the surface of your teeth. In addition, baking soda is alkaline and salty, which helps ease food-based food contamination — such as coffee, tea, and red wine.
How can I whiten my teeth with implants?
You cannot use traditional methods to whiten dental implants because dental implants cannot be compared to natural enamel. The toothbrush uses small particles to gently “scrape” the enamel, removing dirt from the surface.
Will fake teeth whiten?
Your teeth will whiten beautifully. Unfortunately, your fake teeth are not attached to the holder. There is no specific way to prove either. They are not very expensive, so you can rearrange them to match your white teeth.




Comments are closed.