Does united concordia cover dental implants

Does military dental insurance cover implants?

Does military dental insurance cover implants?

Does the military pay for cosmetic dentistry?

For military active work, cosmetic treatment is not available alone, but can be performed in conjunction with other necessary dental treatment. This may interest you : Does metlife dental insurance cover implants. If an active member chooses to get optional harnesses on their own, it will be at their own expense and require approval from their commander.

Will VA do dental implants?

The US VA department offers dental implants at a low price or even completely free to registered member veterans.

Will the Army fix my teeth?

Will the military straighten my teeth? The armed forces use a MEPS exam or DoDMERB to determine the condition of your mouth, teeth and gums. The military can provide funds to treat oral hygiene problems that can be corrected. Read also : Average Cost For Dental Implants. … Surprisingly, the military relinquishes invisible braces in most circumstances.

How much is a dental implant in west yorkshire
On the same subject :
How much does a single tooth implant cost in the UK?Why are…

How much will United Concordia pay for dental implants?

How much will United Concordia pay for dental implants?

How do I get a United Concordia Dental card?

Creating an account is easy! Just take your United Concordia Dental ID card and visit UnitedConcordia. Read also : What is cost of dental implants.com to get started. If you do not have access to the member ID number provided on your card, you can contact United Concordia Dental Customer Service for this information.

Does United Concordia have a deductible?

You may or may not have a deductible on your plan. You can have an individual deductible amount and a deductible amount for the family. The maximum that United Concordia will provide over a benefit period, calendar year or lifetime. … United Concordia will pay a total of $ 1,500 for your claims during that benefit period.

How much does a crown cost with United Concordia?

Service Patient payment without cover Outside the network
Savings
1 filling (amalgam) (D2140) $ 250 $ 98
1 krone (D2752) $ 985 $ 258
TOTAL $ 1,593 $ 530
Will badgercare cover dental implants
To see also :
Can health insurance pay for dental implants?Dental implants are generally not covered…

Does Tricare United Concordia cover implants?

Does Tricare United Concordia cover implants?

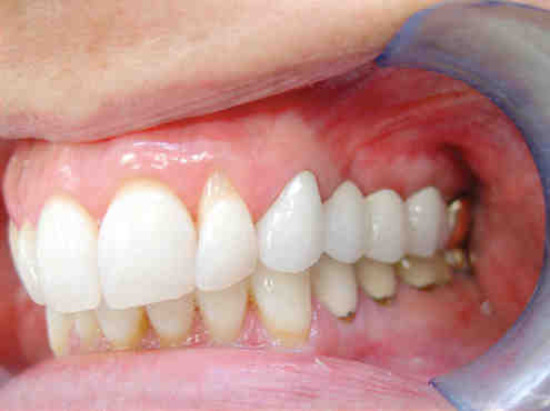
How much is an implant for one tooth?

The cost of a single-tooth dental implant in California is estimated to range from $ 3,000 to $ 4,500; according to The New York Times and the American Academy of Implant Dentistry. These costs include an implant, plant and the implant crown.

Does United Concordia cover nitrous oxide?

Room maintainers Room holders are fully covered for rear teeth at no cost to patients under 19 years of age. Basic restorative 80% Resin and amalgam restorations are covered by anterior and posterior teeth. … A comparable amalgam restoration is taken into account.

Does United Concordia cover byte?

If you have a United Concordia dental plan and you are interested in home alignment devices, contact your liner company and / or insurance representative to discuss your plan details. byte handles all your insurance communications, claims and papers for you.

How to prepare for dental implants
On the same subject :
Can I eat before dental implant surgery?Before general anesthesia or IV relief.…

Does United Concordia pay for implants?

Does United Concordia pay for implants?

Will United Concordia pay for braces for adults?

The TRICARE Dental Program has covered TDP covering 50 percent of United Concordia’s reimbursement up to the Lifetime Orthodontic Maximum (OLM) of $ 1,750.

Is United Concordia a good dental plan?

United Concordia is an established company with over 4 decades of experience in providing quality dental insurance in the country. They offer flexible plans and offer above average discounts on dental treatments and services. The company also specializes in group dental insurance as a big plus for employers.

Comments are closed.

Malcare WordPress Security