How deep should a dental implant be placed
Why do gums recede around implant?
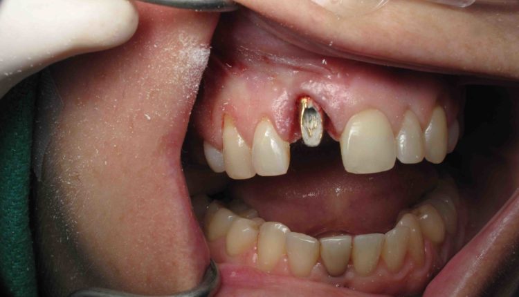
If the implant is placed too close to the front of the gums, there will not be enough tissue between the implant and the outside. This makes it easy to see the dental implant through the gums. Read also : How much are dental implants in texarkana. This also occurs when the implant is too tilted. Eventually the gums will recede.
How long does it take for the gums to grow around the implant? This process can take 3-6 months or more.
How do you fix a receding gum implant?
Using Grafts to Treat Receding Gums One of the most direct ways to counteract tissue loss from gum disease or trauma is to use a gum graft. On the same subject : How much does aspen dental charge for implant dentures in ohio. Gingival grafts use tissue from another part of your mouth (usually the roof) or an allograft material to physically re-cover the exposed tooth roots.
Can a receding gumline be fixed?
The simple answer is: no. For example, if your gums are damaged by periodontitis, the most severe form of gum disease, receding gums cannot grow back. Although receding gums cannot be reversed, there are treatments that can help prevent the problem from getting worse.
How long does it take for gums to grow back after implant?
The gums begin to heal after about three days. Full recovery occurs after one to two weeks. Another pre-implant repair procedure is bone grafting. Some patients require this when there is significant jawbone loss.
Why is my gum receding around my implant?
Bacteria-releasing plaque that builds up around the implants is the culprit, causing the gum tissue to detach from the implant and the bone to recede. This can cause significant damage and lead to loose dental implants and the risk of them falling out.
How long does it take for gums to grow back after implant? This may interest you : What is the average price of a dental implant.
The gums begin to heal after about three days. Full recovery occurs after one to two weeks. Another pre-implant repair procedure is bone grafting. Some patients require this when there is significant jawbone loss.
Does dental implant cause gum recession?
Receding Gums After Dental Implant Surgery Even if you have healthy gums after having dental implants placed, you are still at risk of receding gums.
Does dental implant cause gum recession?
Receding Gums After Dental Implant Surgery Even if you have healthy gums after having dental implants placed, you are still at risk of receding gums.
Will gums grow back after implant?
Your gums may grow between your appointment for your dental implant and the time you receive your permanent restoration.
Do gums recede with dental implants?
The answer is yes, gums can recede around dental implants. Only when gums go back to dental implants are the implants exposed instead of a tooth root. Receding gums around dental implants can look unaesthetic, unsettle patients and even lead to implant failure.
How far should implant be from inferior alveolar nerve?
Conclusions: This study suggests a minimum implant-canal distance of 1 mm to prevent damage to the inferior alveolar nerve from three connected implants. An additional 0.5mm of padding is recommended for clinical safety, so a minimum of 1.5mm should be allowed for to avoid potential nerve injury.
How far should the implant be from the tooth? According to international literature, the minimum distance between implant and natural tooth should be at least 1.5-2 mm and between implant and implant at least 3 mm in order to achieve a durable aesthetic and functional result.
How far should implant be from nerve?
A periodontal probe is measured from the alveolar crest to the roof of the foramen to determine the height of the bone above the mental nerve (Figure 7). The choice of implant length should allow for a safety margin of 2 mm to the nerve.
How far should implant be from mental nerve?
Although a safety distance of 2 mm between endoosseous implants and the MF is recommended, some studies report altered sensations in the area supplied by the mental nerve after their placement (Bartling et al. 1999; Wismeijer et al. 1997; Walton 2000).
How many mm above the inferior alveolar nerve should an implant be at a minimum?
As a result of a biomechanical study, Sammartino et al. suggested a distance of 1.5mm to prevent IAN when considering biomechanical loading. Forum et al. reported that if this distance is less than 6mm, the risk of IAN may increase during immediate implant placement; on the contrary, Lin et al.
How far should implant be from Ian?
In summary, they suggested a spacing of 1.5 mm to prevent damage to the underlying IAN by the implant when biomechanical loading was taken into account (Figure 2C).
How many mm above the inferior alveolar nerve should an implant be at a minimum?
As a result of a biomechanical study, Sammartino et al. suggested a distance of 1.5mm to prevent IAN when considering biomechanical loading. Forum et al. reported that if this distance is less than 6mm, the risk of IAN may increase during immediate implant placement; on the contrary, Lin et al.
What is the minimal safe distance for implant placement from the mental foramen?
In order to safely place an implant, the implant body must be 2mm away from the nerve. Taking into account the maximum extent of the loop of 5 mm plus 2 mm safety margin, the implant should not be closer than 7 mm from the mental foramen.
How many mm above the inferior alveolar nerve should an implant be at a minimum?
As a result of a biomechanical study, Sammartino et al. suggested a distance of 1.5mm to prevent IAN when considering biomechanical loading. Forum et al. reported that if this distance is less than 6mm, the risk of IAN may increase during immediate implant placement; on the contrary, Lin et al.
Is 10 millimeters adequate for a dental implant?
Short dental implants (6mm in length) have been developed to allow placement in areas lacking vertical bone volume [2]. Some of the studies have shown more disappointing clinical results for short implants when compared to conventional implants (at least 10 mm in length) [3,4].
What is the minimum amount of millimeters that should be present between a mandibular implants and the nerve canal?
Sammartino et al. [35] recommended a distance of 1mm between the implant and the mandibular canal to avoid damaging the underlying nerve. For clinical safety, the authors recommended an additional 0.5 mm of padding. Accordingly, a minimum distance of 1.5 mm should be planned in order to avoid possible nerve injuries.
Can a dental implant be too deep?
A dental implant must be placed at the correct depth in the jaw, otherwise it will cause a whole range of problems. If the implant is too deep, the abutment and crown will sit too low, which can lead to gum problems, chewing and biting problems, and pain. If the implant is too shallow, the abutment and crown will sit too high.
How deep should an implant be placed? The ideal depth is between 2 and 4 mm below the FGM of the neighboring teeth (Nisapakultorn et al. 2010).
Can a dental implant be adjusted?
A well-trained prosthodontist can generally perform a revision implantation. However, not every revision surgery is easy. If an abutment is loose, or a crown is chipping or coming loose, the dentist may be able to readjust it, or perhaps have a different one customized.
What happens if dental implant is crooked?
Answer: Implant appears to be crooked Restoring this implant, even with an angled abutment, will likely be challenging and result in compromised restoration. A surgeon with a 3D imager (CT) can check this for you and advise you if removing the implant and repositioning it would be the best option for you.
Can a dental implant crown be adjusted?
Answer: Adjusting the crown Adjusting is completely normal. It’s sometimes a bit more of a hassle fitting a crown over an implant to get it just right, but once fitted, a little polishing of the porcelain and it’s no problem!
Can an implant be put in too deep?
Inserting IMPLANON too deeply (intramuscularly or into the fascia) can cause neural or vascular damage. Over-insertion has been associated with paraesthesia (due to neural damage) and migration of the implant (due to intramuscular or fascial insertion) and, in rare cases, intravascular insertion.
How deep should a dental implant be placed?
It is highly recommended that intraoperative X-rays be taken during the dental implant procedure and osteotomy preparation. It is recommended to drill to a depth of 4-6mm with the first drill in the osteotomy sequence and to take a periapical radiograph to verify the depth and angulation of the implant (Figure 2).
How far should implant be from nerve?
A periodontal probe is measured from the alveolar crest to the roof of the foramen to determine the height of the bone above the mental nerve (Figure 7). The choice of implant length should allow for a safety margin of 2 mm to the nerve.
How deep does a tooth implant go?
In general, at least 1mm of bone is needed around a dental implant. When the implant is adjacent to a tooth or other implant, more space is usually required (2mm to 3mm).
What are the 3 stages of dental implants?
The three phases of dental implant surgery Placement of the implant. Attachment of the abutment. Attaching the crown.
How big can a tooth implant be?
A regular dental implant is between 3.4 and 5.8 millimeters wide, while a mini implant is 1.8 to 3.3 millimeters wide. Both types of implants are the same length. The reduced size of mini implants means that even people with a narrow jawbone can get them.
How much bone is needed for a dental implant?
How much bone is needed around a dental implant? As a general guide, a minimum of 1mm of bone is needed around a dental implant. If the implant is next to a tooth or another implant, more space is needed. If there is insufficient bone to fully encapsulate the implant, a bone graft is required.
What percentage of dental implants require a bone graft? It has been estimated that up to 50% of all currently performed dental implant procedures involve the use of bone grafts [7].
Do I have enough bone for dental implants?
For an implant to be considered, your jaw must have sufficient bone. Otherwise the implant will have no support and cannot be positioned correctly.
Who is not suitable for dental implants?
Very Older People (with some exceptions) In general, however, implantologists, oral surgeons and periodontists will be reluctant to recommend implants to patients over 85 years of age. Very older people tend to have more chronic illnesses that could interfere with the healing process.
How can you tell if you have enough bone for dental implants?
Simply put, there should be enough bone for the implant to fully submerge into the jaw while leaving enough room at the bottom of the bone so that the implant does not interfere with other vital structures such as the nerve at the base of the jaw or at the top in the sinuses.
How do they build up bone for a dental implant?
Bone grafting, usually a minor surgical procedure performed in the dentist’s office, is used to build new bone in the area of your jaw that used to hold teeth. A small incision is made in your gums to expose the underlying bone, and then graft material is added.
Are dental bone grafts painful?
Is bone grafting a painful procedure? Those undergoing dental bone grafting will experience some discomfort and/or pain after the procedure, which is to be expected. Taking an over-the-counter pain reliever can help minimize any discomfort or pain, especially for the first three to four days.
How long does it take for bone to grow around dental implant?
The typical time for bone integration of a dental implant is 4-6 months depending on bone quality. FOLLOW-UP APPOINTMENTS: Dr. Farbod will monitor healing 1 week, 2 weeks, 1 month and 4-6 months after surgery (times may vary from case to case).
Can an implant be put in too deep?
Inserting IMPLANON too deeply (intramuscularly or into the fascia) can cause neural or vascular damage. Over-insertion has been associated with paraesthesia (due to neural damage) and migration of the implant (due to intramuscular or fascial insertion) and, in rare cases, intravascular insertion.
How deep should a dental implant be placed? It is highly recommended that intraoperative X-rays be taken during the dental implant procedure and osteotomy preparation. It is recommended to drill to a depth of 4-6mm with the first drill in the osteotomy sequence and to take a periapical radiograph to verify the depth and angulation of the implant (Figure 2).
Can dental implants be adjusted?
A well-trained prosthodontist can generally perform a revision implantation. However, not every revision surgery is easy. If an abutment is loose, or a crown is chipping or coming loose, the dentist may be able to readjust it, or perhaps have a different one customized.
Do dental implants need to be adjusted?
Caring for an implant denture is fairly easy, but it does require some adjustments to your routine, especially if you’ve been without teeth for a while. If your dentures are permanently fixed in your mouth, you may be able to brush and floss them as usual.
What happens if dental implant is crooked?
Answer: Implant appears to be crooked Restoring this implant, even with an angled abutment, will likely be challenging and result in compromised restoration. A surgeon with a 3D imager (CT) can check this for you and advise you if removing the implant and repositioning it would be the best option for you.
How far should implant be from nerve?
A periodontal probe is measured from the alveolar crest to the roof of the foramen to determine the height of the bone above the mental nerve (Figure 7). The choice of implant length should allow for a safety margin of 2 mm to the nerve.
What happens if an implant hits a nerve?
When a nerve is severed during the placement of a dental implant, it can cause pain and even impact overall quality of life by causing speech impairment, drooling, and uncomfortable sensations.
How far should implant be from mental nerve?
Although a safety distance of 2 mm between endoosseous implants and the MF is recommended, some studies report altered sensations in the area supplied by the mental nerve after their placement (Bartling et al. 1999; Wismeijer et al. 1997; Walton 2000).




Comments are closed.