How long do mini dental implants last
How long does a mini implant last?

Do mini dental implants last? Similar to traditional implants, mini dental implants are a great replacement for a permanent tooth. The titanium posts inserted into the jaw can last a lifetime. The abutment crown can last 15 to 25 years with proper care and care.
Does insurance cover mini dental implants?
1. Does Dental Insurance cover Mini Dental Implants? Insurance companies are increasingly covering both the surgical and prosthetic phases of the procedure. On the same subject : Jawbone Wikipedia.
How much are mini implants?
Mini dental implants (MDI) can range in price from $ 500 to $ 1,500 per implant. The cost for an implant supported a lower denture with 4-6 implants it usually $ 2,000 to $ 5,000. To see also : How Long Does Dental Bone Graft Pain Last. This compares very favorably with full-size implants, which can cost from $ 12,000 to $ 30,000 when used to stabilize full teeth.
Can mini implants be used on upper jaw?
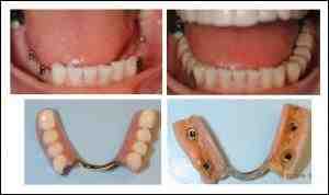
The one-place mini-implants have some application as a temporary solution for someone who does not have the necessary bone to replace a traditional implant. Read also : Define Abutment. This option is only available for lower jaw, however, because mini-implants are not approved for use in upper jaw, where the bone is less dense.
Are mini dental implants permanent?

Yes, mini implants are considered a permanent dental replacement option. Following is a list of two common ways that mini-implants can be used for patients who are missing one or more of their teeth.
Who is a candidate for mini dental implants?
Good candidates for traditional dental implants and mini dental implants are individuals who lack one or more teeth and have good overall health. In addition candidates for mini dental implants: Have insufficient jaw to support traditional dental implants.
Why do mini implants fail?
1) Deviation of jaw and mandibular alveolar processes when mini-implants are more cervically placed; 2) Mini-implants too close to the periodontal ligament, with normal intra-alveolar tooth movement; 3) Low bone density, low thickness and low alveolar bone volume; 4) Low alveolar cortical bone thickness; 5) …
Can mini dental implants be removed?

Yes. In order for a dental specialist to remove an implant, it must fail. The possible reasons for the failure are many, but there are two main categories: early and late failures.
Does food get under implants?
While food can still get stuck between a natural tooth and your implant (just as it can between two natural teeth), it is not possible for food to stick under the implant or the restoration.
Can dental implants be done in one day?
The One Day Teeth procedure is unique because temporary fully functional teeth can be placed on the same day you receive dental implants. These temporary teeth remain in place until your usual permanent teeth are ready to be placed.
Can I get a dental implant years after extraction?
The passing of time is not in itself a reason to avoid dental implants. If you have had your teeth extracted 2, 5, 10 or many years ago, and have not replaced them since, you may still be a good candidate for dental implants. It mainly comes down to a question of bone density.
Are mini dental implants as good as regular implants?

Because they are smaller, mini-implants may not be as stable or last that long. In some cases, two mini-implants are needed to give the same support as one regular dental implant. Both dental implants and mini-implants are great options for replacing missing teeth that have many advantages.
What’s the difference between dental implants and mini dental implants?
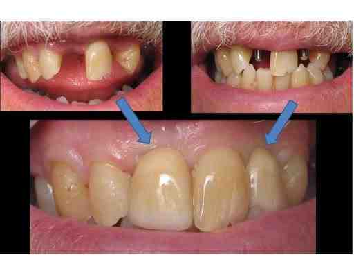
Traditional implants usually consist of two pieces with a diameter of 3.25 to 5 millimeters, which are inserted into the bony sheath of missing teeth with an external screw. Mini dental implants are a solid, one-piece screw, less than 3mm in diameter, with a special ball-shaped end that protrudes from the jaw bone.
How long does it take for dental implants to heal?
It takes about six to eight months for dental implants to fully recover to the point where you can resume your daily routine without help. However, it can take longer, depending on what has been involved with your tooth implant surgery such as bone grafts, and so on.
Which dental insurance is best for implants?
The 5 Best Dental Insurance for Implants
- Best Overall: Delta Dental Insurance.
- Runner-up, Best Overall: Denali Dental.
- Best for Unexpected Period: Spirit Dental & amp; Vice.
- Best Value: Ameritas.
- Best Group Benefits: Swan Dental.




Comments are closed.