How long does it take for dental implants to settle
How long before dental implants feel normal?

Does food get under dental implants?
Unlike normal teeth, complete tooth restoration is cemented in place, so food (and other things) can’t get stuck under it. If the feed is ever stuck in your implant, it can mean the implant is placed incorrectly. This may interest you : Dental Implants Procedure. This can be easily fixed by simple relocation at low cost.
Why dental implants are bad?
When oral hygiene fails, both teeth (or dental implants) and surrounding tissues (gum, periodontium, and alveolar bone) become infected with high concentrations of microbial products, which can lead to decay, gingivitis, periodontitis, or peri-implantitis.
How can I make my dental implant heal faster?

How long does it take for dental implants to fuse to bone?

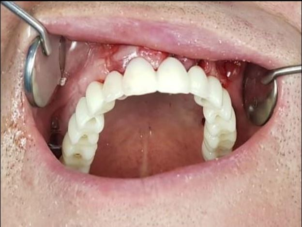
What is a healing cap on a dental implant?
A healing abutment, also known as a healing cap or gingival massage, can help promote soft tissue and hard tissue around the implant. The healing cap also protects the main part of the implant from plaque and debris accumulation. This may interest you : Dentist Plate. They are often mounted on top of the implant.
What to avoid after dental implants?
Food to Avoid
- Foods are difficult, such as steak and raw vegetables. This may interest you : Abutment Tooth.
- Foods are crunchy, such as popcorn and chips.
- Sticky foods, such as caramel and taffy.
- Sticky foods, such as chewing gum and bagels.
- Spicy foods, such as hot peppers and salsa.
- Acidic foods, such as oranges and tomatoes.
- Foods and liquids are very hot, such as coffee and soup.
How should I sleep after dental implant?
It is best to keep your head in an elevated position for at least 72 hours after dental implant surgery. To lift your head, pull you into a pillow on your bed. If that doesn’t make sense, you can also try to sleep at some time a few days after your procedure.
How long does it take for gums to heal after implants?

Do dental implants hurt after?
It is common for patients to experience some pain after a dental implant procedure. First, the discomfort can last one to two days. However, some patients can continue pain at the implant site for up to 10 days.
Why is my dental implant throbbing?
During the healing process, you will experience cancer for the first few days. His pain is not as intense, and it can be controlled using some pain relievers that are prescribed by a doctor. In case of dental implant failure, you will experience severe pain and discomfort that comes in the form of vibrating waves.
How painful is implant surgery?
With numbed nerves, you can expect not to feel pain during your dental implant procedure. You thought the feeling of pressure sometimes, but it shouldn’t bother you. For patients who are anxious with dental procedures, oral sedatives are available.




Comments are closed.