How long does it take to put veneers on?
As one of the most popular cosmetic dentistry treatments, we get this question quite often. Simply put, the answer is no. Porcelain veneers do not ruin teeth.
Do you regret veneers?
Most people don’t regret going ahead with veneers. If anything, they regret having waited so long to correct their smile. On the same subject : Family Dental Health Care. Veneers can erase years and years of insecurities and confidence issues.
Is there a downside to veneers? Veneers can crack, chip, or even fall out if you consume hard foods or grind your teeth frequently. You will need to practice a regular dental care routine, as veneers do not protect your smile from decay.
Does removing veneers damage teeth?
The short answer is no. Nothing will happen to your teeth as long as you take care of your veneers, which is easy to do. Read also : Dentist Specialty. That said, cavities can still occur if veneers aren’t installed properly or if you neglect your dental hygiene.
Do your teeth grow back after veneers?
Porcelain veneers are irreversible, as they require natural teeth to be filed down to make room for the veneers, and once the enamel is cut, it doesn’t grow back.
Are your teeth ruined after veneers?
One of the most asked questions we get at Burkburnett Family Dental about porcelain veneers is whether they ruin your teeth. As one of the most popular cosmetic dentistry treatments, we get this question quite often. Simply put, the answer is no. Porcelain veneers do not ruin teeth.
Do veneers cause long term damage?
Veneers are explicitly custom tooth-shaped covers so you can hide stains and alter the size and shape of imperfect teeth. The long-term effects associated with veneer implants are minimal.
Do veneers turn yellow?
Veneers do not stain as easily as the natural enamel found on teeth; however, they may still turn yellow or discolor over time. See the article : Dds Doctor Of Dental Surgery. Surface stains can develop after prolonged exposure to highly pigmented beverages such as red wine and dark coffee.
Do veneers change color over time?
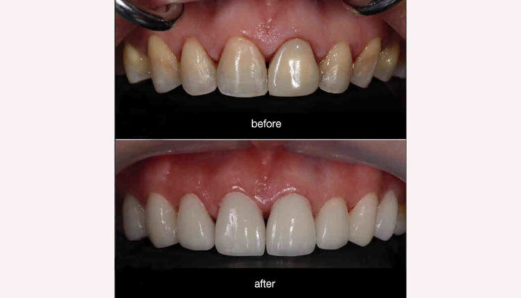
So, after you and your dentist choose the color for your veneers and they are custom made to your specifications, the porcelain will never change color. This is one of the reasons why most cosmetic dentists recommend veneers instead of dental bonding to patients who want to restore their smile.
Do veneers get discolored?
The natural enamel of your teeth absorbs the colors of the food you eat. Porcelain veneers, however, do not discolor over time. The material is known to deflect stains so you can enjoy a brighter, whiter smile for years and years.
Can you get veneers whitened?
Can I whiten my veneers? Unlike our natural teeth, we do not recommend using traditional whitening treatment on veneers. Teeth whitening products cannot change the color of veneers, but they can change natural teeth, which will likely result in an unevenly-toned smile.
Will I get used to my veneers?
Although they are quite effective, they can take some getting used to. Dr. Andrew G. Mortensen and his dental care team would like to address some early and temporary problems that some patients experience after receiving porcelain veneers.
Do veneers feel weird at first?
At first, veneers feel something like your teeth after braces: smooth, smooth, and a little weird. But don’t worry, it doesn’t take long to get used to perfect teeth. What are the side effects? Like most procedures, there is an adjustment period that can last about two weeks.
Do veneers take time to settle?
Adjusting to your new veneers Most patients agree that it takes about two weeks for your bite to feel normal and for chewing and speaking to feel completely natural. Any sensitivity that occurs after the veneer is placed should be temporary. These side effects begin to disappear within the first few weeks.
How long does it take to get used to pop on veneers?
However, they can often last up to five years. After we get your impression, it usually takes two to three weeks to receive your snap-on smile veneers.
Will my gums grow back after veneers?
Dental veneers are a great way to improve your smile after you’ve experienced receding gums. There is no way to regrow receding gums, and veneers are the most minimally invasive option for this.
Do you need healthy gums for veneers? Healthy, strong teeth work well with porcelain veneers. But if you don’t brush and floss as often as you should, your teeth will deteriorate. Tooth decay, tartar and gum disease can result from poor oral hygiene. All of these conditions can weaken porcelain veneers, shortening their lifespan.
Do you get new gums with veneers?
Unfortunately, there is no way to make your gums grow back, but there are some ways to improve your smile after gum recession. The most minimally invasive option is a gum (or gum) veneer. Just as porcelain veneers can help improve the appearance of your teeth, a gum veneer can help improve the appearance of your receding gums.
Can veneers cover up receding gums?
Porcelain veneers are known to improve the appearance of your teeth, and in this way alone, gum veneers help reduce the appearance of receding gums. Gingival Veneers: Specially designed and custom-made veneers that make teeth appear shorter to cover and hide exposed tooth roots and receding gums.
What happens to your gums when you get veneers?
In some cases, the plating process can occur directly after contouring. Patients may feel some pain and discomfort in the gums. For the next few days, the person may take pain relievers and should eat soft foods. The dentist can provide additional instructions, such as activities to avoid.
Will my gums heal after veneers?
Answer: Gum healing after veneer placement In many cases, temporaries put pressure on the gum tissue between the teeth and this takes weeks to months to settle back in… on the other hand, if the veneers were not prepared or constructed to close this space, the tissue will never be completely filled.
Why are my gums sore after veneers?
After porcelain veneers It is normal to experience some sensitivity to heat and cold. The teeth take time to heal after the removal of the tooth structure and will be sensitive at the time. The gums may also be sore for a few days.
How long do gums take to heal after veneers?
Gum and tooth pain may persist for two to three weeks. Patients may also experience tooth sensitivity when eating and drinking hot or cold items. The sensation of the person’s bite may feel different. The patient may also experience some minor changes in their speech.
Do veneers cause gum problems?
Placement of veneers â If veneers are too deep below the gum line, they can interfere with the healthy connection of the gums and cause inflammation and infection.
Can you get cavities with veneers?
In short, porcelain veneers cannot have cavities. However, the teeth they are attached to are still subject to decay, so it is of the utmost importance that you maintain a solid oral hygiene routine after the procedure.
Can veneers stop cavities? Porcelain veneers do not magically cure teeth of problems such as pre-existing cavities and weakened tooth enamel. Health conditions and certain medications (such as those that have dry mouth as a side effect) can still greatly increase the risk of tooth decay in teeth that support veneers.
What happens if you get a cavity with veneers?
If a tooth with a veneer develops a cavity, your dentist will need to treat it. Prolonged tooth decay can cause the veneer to fail or the entire tooth to have to be pulled. Sometimes, your dentist may need to remove the veneer to treat cavities.
Is it easier to get cavities with veneers?
Will porcelain veneers basically make your teeth bulletproof, or will your new smile be constantly threatened by dental problems? The answer is that a porcelain veneer, although it covers much of the front surface of a tooth, actually does very little to affect the likelihood of decay.
What if I get cavity with veneers?
Cavities are damaged areas of the teeth that develop into holes or small openings. Veneers are not a magic solution for teeth and gums. A veneer itself cannot have decay, but it is possible to have a cavity in a tooth that is covered by that veneer. This makes regular dental exams important, as Dr.
Can you fix a cavity under a veneer?
Can you have cavities under the veneers? Yes. The veneer only covers the front of the tooth. The rest of the tooth can still collect tartar and plaque and eventually develop cavities.
Do your teeth get rotten under veneers?
Can you have cavities under the veneers? Yes. The veneer only covers the front of the tooth. The rest of the tooth can still collect tartar and plaque and eventually develop cavities.
How do teeth not rot under veneers?
Veneers cover only the front of the teeth, not the back or sides. It’s true that under veneers, the front of your teeth aren’t as exposed to sugars, acids, bacteria, and other things that can damage the enamel, but the rest of the tooth remains as exposed as usual.
What do your teeth do under veneers?
However, unlike other treatment options such as braces and other types of orthodontics, the position of the teeth does not change with veneers. Instead, veneers cover the front surfaces, making the smile appear even and helping to correct crooked or hollow teeth. Damaged tooth enamel can be covered.
Is it easy to get cavities with veneers?
The answer is that a porcelain veneer, although it covers much of the front surface of a tooth, actually does very little to affect the likelihood of decay.
Do you still need fillings with veneers?
Veneers are attached to the teeth using a composite cement, so it can be done. But when a tooth is, say, a half of a composite filling, it’s not smart to put a porcelain veneer on it. When it has that much filling, it should be covered with a crown anyway to prevent it from breaking.
Sources :




Comments are closed.