How much are dental implants in mexico
How much does it cost to fix your teeth in Mexico?

| Dental Procedure | United States | Mexico |
|---|---|---|
| Porcelain Fused to Golden Crown * Read also : Missing Teeth Replacements. | $ 1,700 | $ 600 |
| Full Porcelain / Ceramic Crown | $ 1,500 | $ 340 |
| Zirconia Crown | $ 1,600 | 450 USD |
| Porcelain Laku | $ 1,100 | $ 350 |
Are implants permanent?
Dental implants are not permanent, but they are the most common form of prosthetic tooth replacement available for patients who suffer from severe tooth decay, infection, lost tooth or teeth in an accident, facial extraction of permanent teeth, or who are tired of the pain, irritation and discomfort associated …
How much is a deep cleaning in Mexico?
| Procedure | Price in the United States On the same subject : Does Medicaid Cover Dental Implants. | Price in Mexico |
|---|---|---|
| Deep Cleaning, Climbing & amp; Root Planning (per quadrant) | $ 800 | $ 60 |
| LANAP (per quadrant) | $ 1,000 | $ 190 |
| Laser Cleaning | $ 400 | $ 190 |
| Laser Teeth Whitening | $ 900 | $ 200 |
How much does all on 4 cost in Mexico?
In Mexico, the cost for all 4 dental implants is about $ 825 per arc. To see also : How Much Are Clear Choice Dental Implants. That price includes the tooth extraction, all four implants, immediate dentures and permanent dentures.
Which country is the cheapest for dental implants?

Spain. For a country famous throughout Europe for its excellent dentistry, Spain is also celebrated for its amazing affordability. For example, it costs only $ 653 to get Spanish dental implants, which is cheaper or comparable to dental implants from Mexico ($ 750) and Costa Rica ($ 650).
Who is not a candidate for dental implants?
Not enough bone structure to place the implants: When a dentist or dental implant specialist believes the jaw bone is too thin or too soft to hold the implant, he will often reject that patient as an implant candidate because of an improper bone structure. that can’t support an implant will lead the implant …
How much should dental implants cost in 2020?
As a guideline, the cost of implant, abutment and crown is usually between $ 3,000-5,000. Your costs will vary depending on the unique circumstances of your case.
How can I get free dental implants?
The Cosmic Dentistry Scholarship Program (CDG) gives partial grants to people who need cosmetic services such as dental implants. Although CDG does not pay the full cost of getting dental implants, its partial grants can make implants much more affordable.
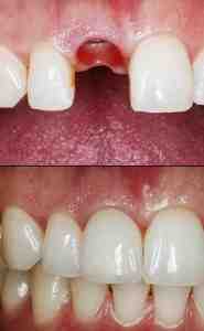
How much are dental implants in Tijuana?

Dental Implant Cost in Mexico It is difficult to accurately compare dental implant prices because there are so many variables. The cost of this dental work in Tijuana, Mexico ranges from $ 2000 to $ 3,000, but it can be increased if you need other procedures such as a bone graft or tooth extractions before the procedure.
Is there any dental insurance that covers dental implants?
Swan Dental Care DHMO plans include coverage for dental implants, crowns and even teeth whitening, and you can save with copayments, co-insurance and discounts. Swan Plus Savings is a dental discount plan that allows participants to save money on all dental procedures with participating providers.
How long does it take to get a dental implant?
Normally, the process to get a dental implant can take anywhere between six to eight months and requires two surgical procedures. In the initial surgical appointment, a dental implant made of titanium is gently placed into the bony sheath of the missing tooth.
What are the best dental implants to get?
These are reasons why titanium remains better than zirconium as the most effective dental implants in history.
- Titanium dental implant materials and its designs can be produced in a two-piece system. …
- Again titanium is the best dental implants because it is biocompatible.
Is it safe to get dental implants in Mexico?

If you get a cheap dental implant in Mexico it won’t kill you, it may be more likely to cause a failed implant.
Where is the best country to get dental implants?
The 9 Best Countries for Dental Implants
- Turkey. Not surprisingly, Turkey is consistently ranked as one of the best countries on dental implants. …
- Hungary. Hungary is known to be one of the best countries for dental implants. …
- Croatia. …
- Poland. …
- Czech Republic. …
- Mexico. …
- Germany. …
- Thailand.
Is it cheaper to get your teeth fixed in Mexico?
Every year, thousands of Americans flock to Mexico for cheap dental work. … But most of their American patients live in Mexico. There dental work costs 70 to 90 percent less than in the United States. I brushed my teeth in Mexico for only $ 10.



Comments are closed.