How much are mini dental implants
How much is a full set of mini dental implants?

Why do mini implants fail?
1) Deflection of the maxillary and mandibular alveolar processes when the mini-implants are more placed cervically; 2) Mini-implants placed too close to the periodontal ligament, with normal intra-alveolar tooth movement; 3) Low bone density, low thickness and low alveolar bone volume; 4) Low alveolar cortical bone thickness; 5) … Read also : Teeth Replacement Cost.
Can you sleep with mini dental implants?
A prosthesis is based on implants, not gums. You can sleep while in the port. On the same subject : Teeth Healing. But you need to be diligent about daily cleaning of your dentures so you can keep your breath fresh and maintain good oral hygiene.
Are mini dental implants as good as regular implants?

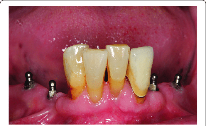
What are the mini implants?
The mini dental implants are a solid, one-piece screw, less than 3mm in diameter, with a special ball-shaped end protruding from the bone of the jaw. Due to their smaller size, mini implants are also called narrow diameter implants or small diameter implants (NDIs and SDI).
Does clear choice do mini implants?
ClearChoice dentists perform more dental implants each year than many other facilities because they have an innovative, all-inclusive approach. This may interest you : Replacement Tooth. Most ClearChoice implant centers charge a flat fee to remove all your teeth (top and bottom) and replace them with implants.
Are mini implants cheaper than regular implants?

What is the success rate of mini dental implants?
The mini dental implants used in these procedures have been shown to have high success rates. Over a 12-year period, 5640 mini dental implants were placed with an overall survival rate of 92.1%.
Does insurance cover mini dental implants?
1. Does dental insurance cover mini dental implants? Insurance companies are increasingly covering the surgical and prosthetic phases of the procedure.
How much do full mouth dental implants cost?
For example, the cost of a single plant can range between $ 1,000 and $ 3,000. In contrast, the cost of full mouth dental implants can range between $ 7,000 and $ 90,000. This puts the national average for a complete set of dental implants at around $ 34,000.
Are mini implants worth it?

Who is a candidate for mini dental implants?
Candidates include: Those with one or more missing teeth: Candidates for mini dental implants include those who are missing one or more teeth. Mini dental implants can be coupled with dental crowns to replace individual teeth or prostheses to replace more teeth.
How much bone is needed for mini implants?
As a general guide, at least 1 mm of bone is needed around a dental implant. More space is needed when the implant is close to a tooth or other implant. If there is not enough bone to completely wrap the implant, a bone graft will be needed.
Are mini dental implants permanent?
Yes, mini implants are considered as a permanent option for tooth replacement. Here is a list of two common ways that mini implants can be used for patients who are missing one or more of their teeth.



Comments are closed.