How much for 3 dental implants
How much should implants cost per tooth?

How much do screw in teeth cost?
When you start researching the price of dental implants, you will quickly find that the cost for a single implant can range from $ 1,500 to $ 6,000. In comparison, implants in some dental implants can cost from $ 1,500 to more than $ 50,000. Prices for dental implant surgery seem to be high.
Can I get a dental implant years after extraction?
Whether you have lived a long time or not to get your teeth is not a reason not to get dental implants. On the same subject : Titanium Implants. It doesn’t matter the number of years you exercise; 3, 5, 10 or a few years ago, you could still have your dental implant surgery.
Are teeth implants worth it?
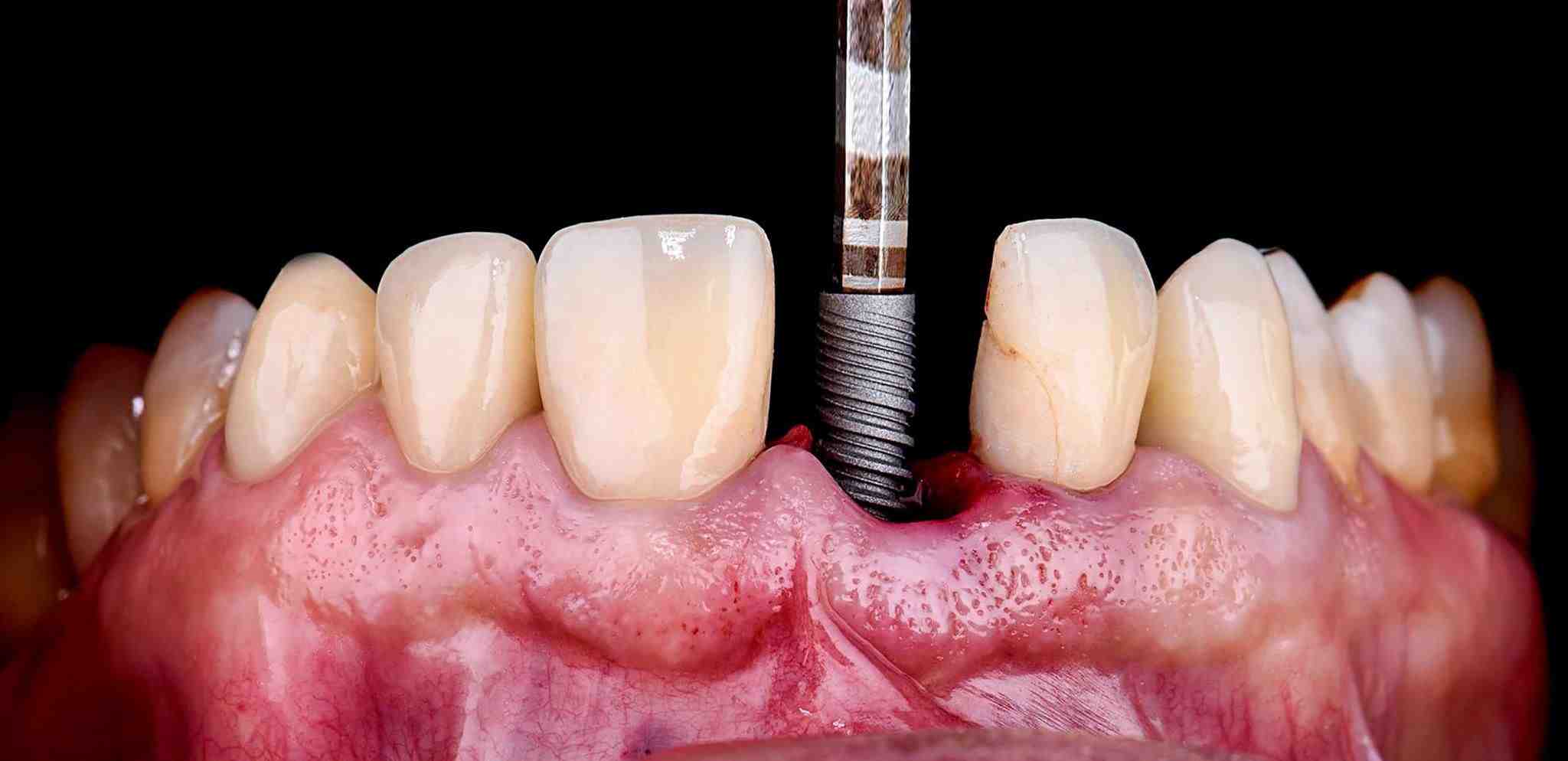
So, does dental implant surgery deserve all the hassle? Because of its durability, appearance, and function, dental implants are thought to be the best option for tooth loss, giving you long -term options that can last for the rest of your life. Read also : Average Cost Dental Implant.
How much is the cheapest dental implant?

How can I fix my teeth with no money?
The good news is that there are ways to fix bad teeth for free …. Some of them include: Read also : Dental Implants Complications.
- Clean teeth.
- X-rays.
- Dental Exam.
- Crown stainless steel.
- Fill.
- Extraction.
- Root canal.
- Denture (can be full or partial)
Which country is cheapest for dental implants?
Although you will certainly find cheaper dental implants in countries such as Costa Rica, Mexico, and Thailand, there are some issues associated with going out of country for dental implants.
What is the alternative to dental implant?
Dentures are one of the dental implant alternatives that many patients are familiar with. When you think of dentures, you thought you could represent a full denture — two dentures that are designed to replace the arch of the upper and lower teeth.
How much will dental implants cost in 2020?

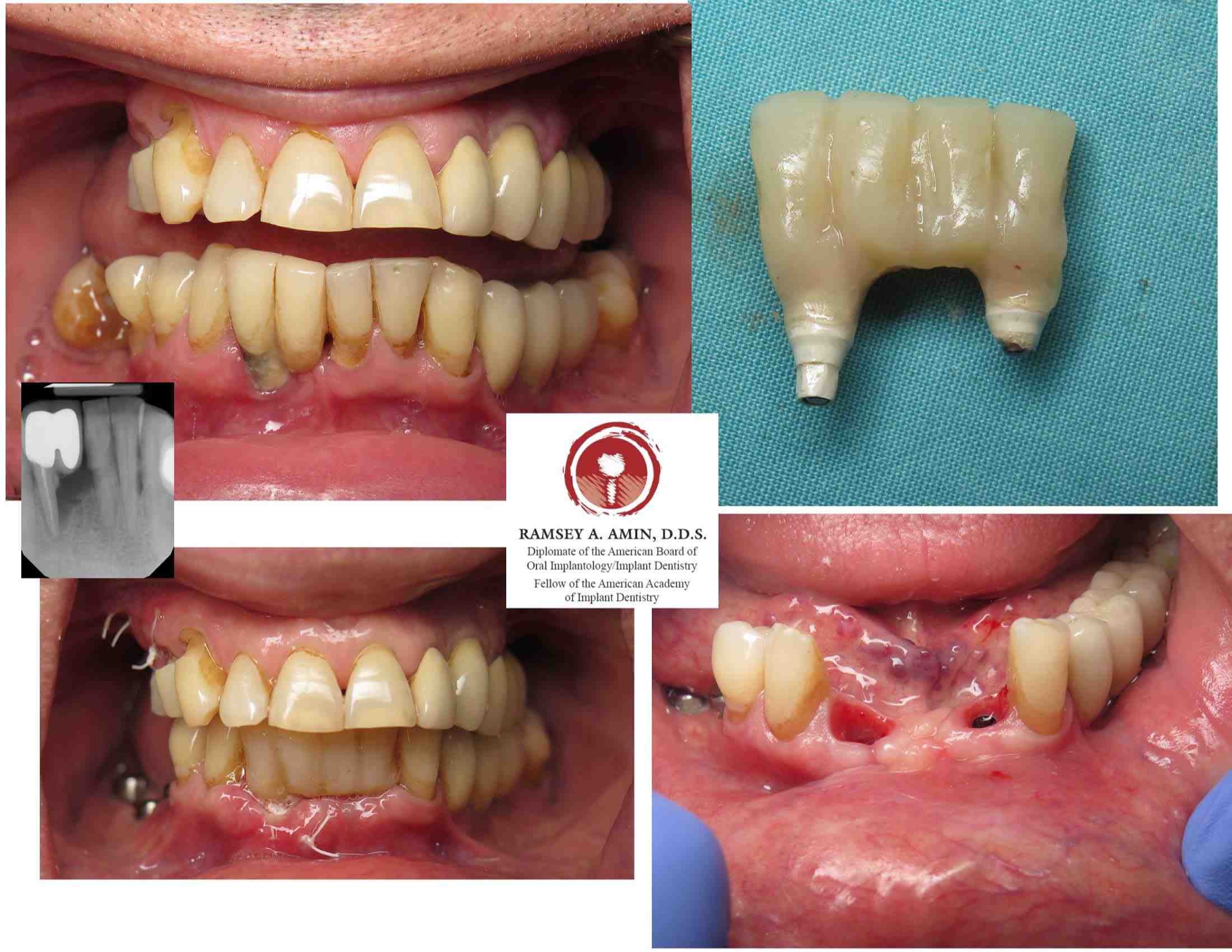
How many implants are needed for full mouth?
Because the bone is softer in the upper jaw, the minimum number of implants that can be placed for a set of teeth is 4 implants, regardless of whether the final prosthesis is fixed or can be removed. You can’t do anything on 2-3 implants in the upper jaw or things seem more failed.
How much does 4 teeth implants cost?

What is the downside of dental implants?
The most common disadvantage to getting a dental implant is that the procedure is expensive and cannot be covered by insurance providers. Additional potential losses of dental implants include: Pain, swelling, and bleeding due to surgery. Complications of anesthesia such as nausea, vomiting, and dizziness.
Are same day dental implants any good?
Same day dental implants provide instant results but osseointegration must be performed for the procedure to be successful in the long run. Permanent fusion into the jaw will take time. During the process, it is highly recommended that patients follow recovery guidelines.




Comments are closed.