How to care for all on 4 dental implants
How long does it take to get used to all on four dental implants?

How long does it take for the gums to heal after insertion-on-4? Unlike normal teeth that may take up to 8 months to recover and up to a year of repair time, All-on-4 implant dentures do not take nearly as long to heal. To see also : How much bone is needed for a dental implant.
Do all on four look real?
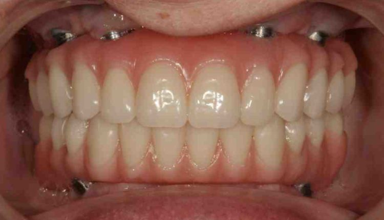
Will 4-substitute teeth look unnatural? Absolutely not! All 4 replacement teeth give you permanent, natural and functional teeth. Read also : How much a dental implant cost. The only way people will know you have it is if you tell them
How long does pain last after All-on-4 implants?
Usually, you may feel some pain and discomfort for up to 10 days after surgery. Hopefully, your dentist will prescribe pain medication to help. On the same subject : What dental insurance covers implants. There will also be swelling, and this should decrease for about 3-5 days.
How long does swelling last after All-on-4 implants?
However, on average, patients can expect swelling to last for up to a week after skin graft surgery. The infection usually reaches at least 48 hours after treatment and begins to gradually subside. Within about five to seven days, most of the swelling should go away.
What can I eat after 4 implants?

Meal options after the All-on-4 system
- Milk.
- Pudding.
- Yoogur.
- Oatmeal or wheat cream.
- Fruit juice.
- Protect.
- The food exchange is shaking
Can you eat steak with all-on-4 dental implants?
If you are considering Installing an All-on-4 Dentist, you may have to wait to eat a juicy drink again as soon as possible. And you will confidently eat meat, apples, and corn. But first, your bones and ligaments need to heal together in the first 3-4 months.
How long after all-on-4 implants can you eat?
2 Weeks – 3 Months After Surgery: Eating Soft Foods. After the pain subsides, you will begin to feel able to move from liquid food to soft food.
Are all-on-4 implants permanent?
All-on-4 dental implants are meant to be a permanent dental solution. Your insertion can last for 20 years or more with proper care.
Does food get stuck under all on 4 dental implants?

Unlike normal teeth, tooth restoration is completely slippery, so food (and other things) cannot stick to the bottom. If the food ever sticks to your skin, it means that the skin has been misplaced.
Does food get under full dental implants?
Also, dental implants cannot get under the food because they are part of your jaw. This reduces inflammation as well as halitosis. Dietary intake is unhealthy and can be harmful.
Why dental implants are bad?
Risk of failure. The complications and failures of dental implants are small, but they do occur. Causes of epilepsy include gum disease, inadequate jaw bone, poor dental hygiene, and other medical conditions.
How do you care for all on four?

One of the most important tips after treatment All on 4 dermatological treatments is to maintain proper oral care and hygiene. Immediately after your surgery, you should avoid any direct contact with the implant site and use a soft toothbrush to clean your teeth for a week or so after your treatment.
Are dental implants hard to keep clean?
Vaccines are stronger than anything in your mouth, but they also require professional cleaning and tests as your natural teeth do.
How much is all-on-4 dental implants?
All-on-4 dental implants cost between $ 12,000 and $ 25,000 per jaw on average. This makes All-on-4 dental implants much cheaper than $ 40,000 and costs a full set of traditional equipment.




Comments are closed.