How to care for dental implants
How do you take care of dental implants?

Do dental implants require special care?
Many people have questions about how dental implants work. One of the questions that seems to be asked very often is whether dental implants require special care. The simple answer is no. In fact, dental implants are considered low maintenance by patients and dental professionals.
How do you brush after dental implants?
Two days after the procedure, start brushing the implant site with a child’s toothbrush (soft bristles). Brush the front, back, side and top of the implant. DO NOT use an electric toothbrush. See the article : Top Dentures. DO NOT floss in the surgical area for 2 weeks.
What maintenance is required for dental implants?

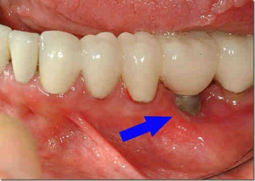
Does food get under implants?
DENTAL IMPLANTS SHOW THROUGH FOOD LIKE REGULAR TEETH. Read also : Implant Supported Dentures Pictures. So don’t assume you’re limited to certain foods like you do with other tooth replacement options.
How do you clean under dental implants?
For individual implants This may interest you : Dental Posts.
- Clean at least twice a day with a soft bristle toothbrush.
- Use a low-abrasive toothpaste.
- Brush under and around the implant crown
- Use a nylon-coated interdental brush to clean hard-to-reach places.
- Floss daily with wax-free tape or dental floss.
- Use a recommended oral watering can.
Do dental implants have to be removed to clean?
TEETH IMPLANTS To ensure proper cleaning, you should remove all removable appliances and clean accessories, artificial teeth, and gum areas two or three times a day. Take the time to floss under the implant to remove any food that has become trapped to minimize the chances of infection.
What can you not do after dental implants?

How long do stitches stay in after dental implant?
What about the spots around the implant? The stitches can dissolve, but often remain between two or three weeks. If they are uncomfortable or annoying, you can contact us to remove them. Some minor bleeding after mouth surgery is perfectly normal.
How soon after dental implant can I brush my teeth?
After 24 hours you can resume brushing your teeth. It can also help to rinse your mouth gently from time to time with mild salt water (1/4 teaspoon of salt in a glass of water). DO NOT use mouthwashes or hydrogen peroxide rinses for 14 days.
What is the downside of dental implants?

How much do dental implants cost in 2020?
As a general guide, the cost of an implant, pillar and crown is usually between $ 3,000 and $ 5,000. Your costs will vary depending on the unique circumstances of your case.
Can dental implants be done in one day?
The one-day teeth procedure is unique because temporary and fully functional teeth can be placed on the same day you receive dental implants. These temporary teeth remain in place until your custom permanent teeth are ready to be placed.
How much does a full set of teeth implants cost?
Full mouth implants The cost of these types of dental prostheses supported by implants can range from $ 7,000 to $ 90,000. The average cost of full mouth implants is about $ 34,000. A set of upper or lower prostheses can cost between $ 3,500 and $ 30,000. Full mouth dental implants are strong and safe.




Comments are closed.