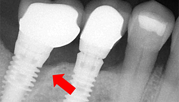
How to identify dental implants by x ray
Do dental implants have serial numbers?

Do crowns have serial numbers?
CROWN mixers come with a 17-digit serial number on each unit. On the same subject : Teeth Replacement Cost. This serial number helps us track the manufacturing date of each unit.
Why do implants have serial numbers?
Each breast implant has a lot number and a serial number associated with it. The batch number reflects the batch of breast implants (including filler material) produced at a given time. Read also : How Much Do Tooth Implants Cost. In addition to the lot number, a unique serial number is also associated with each breast implant.
How do I know what type of dental implant I have?

What are the best tooth implants to get?
There are three common types of dental implants you can choose from: endosteal, subperiosteal, and zygomatic. The endosteal is the safest and most common, followed by the subperiosteal, and the zygomatic is the last and most complex.
Which type of dental implant is best?
Your prosthodontist can help you determine which type of dental implant will work best for you, but endosteal implants are safe, effective, and the most popular option used today. Read also : Crown Vs Cap.
What is my implant?

Who discovered osseointegration?
Osseointegration is a natural phenomenon that has revolutionized the implant industry since the discovery made by Dr. Per-Ingvar Brånemark in the early 1960s.
What is tissue level implant?
The Straumann® Soft Tissue Level Implant has a built-in smooth collar that reaches into the soft tissue, shaping it to eliminate the need for gum formers, as well as time-consuming soft tissue handling procedures.
What is implant system?
Dental Implant System is a set of certified medical devices that professional dentists use to anchor dentures or replace missing teeth. An implant system consists of different types of dental implants, different dental superstructures, and implant instruments.
How do you uncover a dental implant?

How is the abutment attached to implant?
To place the abutment: Your oral surgeon reopens your gum to expose the dental implant. The abutment is fixed to the dental implant. The gum tissue is then closed around the abutment, but not over it.
Is uncovering dental implants painful?
Pain: Although minimal discomfort is expected, it is best to take some pain reliever before the effect of the local anesthetic wears off. Take your pain reliever as prescribed for the first 3-4 days after surgery.
When should dental implants be uncovered?
DISCOVERY APPOINTMENT: If the implant was “buried” under the gum tissue, and after the 4-6 month healing period, the implant can be discovered and a “healing plug” placed.




Comments are closed.