Is it painful to get dental implants
It is recommended that the pain intensity be greater with tooth extraction compared to implant placement.
Can I drive after implant surgery?
Can I drive home? If you are asleep for your surgery, it will take some time before your alertness and balance return to normal. You may also experience some vision loss after anesthesia. This may interest you : Full Set Of Teeth. For these reasons, we recommend that you do not drive or operate the engine for the first 24 hours after surgery.
When can I drive after transplant surgery? How long does it take to recover from breast augmentation? For the first one to two weeks after surgery, you need to avoid certain activities that you are used to, such as driving. During recovery, you need to limit strenuous activity and heavy lifting. Most people have mild or severe pain for up to six weeks.
How many days rest after dental implant?
For the average patient, a three- or four-day break will suffice after dental surgery. Compassion and some swelling are normal and will subside in the first few days. See the article : What happens if dental implant bone graft fails. Most dentists recommend surgery in the middle of the week, allowing one or two days off from work with the weekend to recover.
How long is recovery time after dental implant?
Most patients return to work one day after work and in some cases, one day. Over-the-counter pain medications are usually enough to reduce any discomfort. On average, the healing time for a dental implant is about four to six months.
Can I work the day after dental implant?
The short answer is that many patients may return to work the next day after dental surgery, and very few patients will take a break for more than a day or two. Of course, every case is different, and even with external surgery, it is possible complications can prolong your recovery schedule.
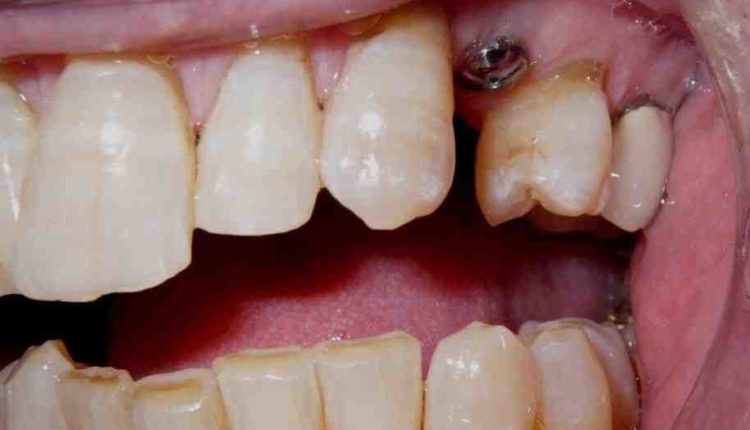
What can I expect immediately after dental implant surgery?
Common side effects are also expected to include swelling around the hips and face, a slight rash, pain at the implant site, and low blood pressure. To see also : Dental Implants Denture. It is usually recommended to avoid heavy foods during healing, and your oral doctor may prescribe pain medication or antibiotics after surgery to help you heal.
How long do you have pain after tooth implant surgery?
You Can Recognize Sickness & Other Symptoms Up to 7 Days After about 3-7 days, you may still feel pain and tenderness near the implant site. However, it should start to get less heat. You can return to work or school within 1-3 days after surgery.
What is recovery like after dental implant?
The jaw, sweat and teeth will all be sore and soft. It is important to do your best not to touch or disturb the planted area. A person may experience severe swelling, bleeding and even pain in the first 24 hours after surgery.
What can you not do after dental implant surgery?
Immediately after the transplant operation, patients need to follow proper hygiene guidelines. You should avoid strenuous activity for a few days after surgery, and avoid smoking for at least two weeks. Regularly perform oral hygiene and visit dentists for regular checkups and checkups.
What is the recovery time for dental implants?
On average, the healing time for a dental implant is about four to six months. This allows for complete healing before the crown is placed.
Do and don’ts after dental implants?
During the recovery of dental caries, you need to eat soft foods rich in vitamins. It is a good time to try some soft food recipes, such as soft vegetables and soups. Make sure you continue to eat a balanced diet and avoid foods that may raise cholesterol or high blood pressure.
How long does a dental implant procedure take?
The process itself takes 1 to 2 hours and the healing time is 3 to 6 months. During this time the titanium alloy (the material used to replace the joints) the plant will heal around and connect with the bone and around. There is no prescriptive drug that will stop the flow of emotions, though their effects can be curtailed.
What can I expect immediately after dental surgery? Common side effects are also expected to include swelling around the hips and face, a slight rash, pain at the implant site, and low blood pressure. It is usually recommended to avoid heavy foods during healing, and your oral doctor may prescribe pain medication or antibiotics after surgery to help you heal.
How long do dental implants take from start to finish?
Although the entire dental procedure, from start to finish, will take almost six months if all goes well, it is not uncommon for you to find yourself completing the procedure a year or more after losing a tooth.
What are the stages of a dental implant?
Three Tooth Planting Levels Transplantation. Included with abutment. Adjust the crown.
Can dental implants be done in one day?
Planting can usually be done one day at a time, from 30 minutes to 3 hours, depending on the number of teeth implanted. However, it is important to note that you will not be leaving the office with your permanent teeth. But, you will go with a perfect smile.
How painful are dental implants?
How Long Will Pain Taken From Planting to Reduction? In most cases, the discomfort will increase within about 3-5 days after treatment, and then begin to subside rapidly. In the first week after surgery, you should feel a little, if any, discomfort and pain.
How long does the pain last after a dental implant?
You Can Recognize Sickness & Other Symptoms Up to 7 Days After about 3-7 days, you may still feel pain and tenderness near the implant site. However, it should start to get less heat. You can return to work or school within 1-3 days after surgery.
What is the downside of dental implants?
Risks and complications you take to insert your teeth include infection, damage to other teeth, slow bone healing, nerve damage, prolonged bleeding, broken jaw and more. If you are prepared to take these risks, the type of toothpaste may be right for you.
Can dental implants be done in one day?
Planting can usually be done one day at a time, from 30 minutes to 3 hours, depending on the number of teeth implanted. However, it is important to note that you will not be leaving the office with your permanent teeth. But, you will go with a perfect smile.
Can dental implants be fitted in one day?
Teeth during the day is a procedure where patients can put their fully functional teeth in place for one day. Normal transplant procedures require between three and six months between implant placement and restoration with final tooth replacement.
Can denture implants be done in one day?
During the All-on-4 procedure, the dentist can make a implant and temporarily attach the teeth to them within a day. Permanent teeth are attached after a few months. For other transplant methods, a healing period usually occurs a few months after transplantation before any restoration.
Are tooth implants worth it?
Dental implants are worth the time and effort if you need to replace a missing tooth. The implants provide a strong foundation for permanent or permanent removal of teeth and can be made to look like your natural teeth. Tooth loss can occur due to decay, cavities, periodontal disease, or injury.
What are dental implants? Risks and complications you take to insert your teeth include infection, damage to other teeth, slow bone healing, nerve damage, prolonged bleeding, broken jaw and more. If you are prepared to take these risks, the type of toothpaste may be right for you.
How long do teeth implants last for?
How long does a dental implant last? Dental implants are designed to be a permanent solution to tooth loss and can last for 20 to 30 years.
How long does dental implant surgery last?
Transplant surgery Your dentist will place a titanium implant in the jaw bone, under the sweat. This surgery usually takes about 1-2 hours for each implanted plant. After completing this step, most dentists will have to wait about 3 months before the final return of dental replacement.
How often do teeth implants need to be replaced?
When maintained with good hygiene and inspection, dental implants can last a lifetime. The crown attached to the plant will need to be replaced every 15 to 20 years, although they can take many years at times.
What is the failure rate of dental implants?
Planting teeth have a lot of success, but some people face the failure of implantation. It is estimated that about 5 to 10 percent of dental implants fail, either shortly after a procedure or months or years later.
What is the downfall to dental implants?
The most common disadvantage of having a dental implant is that it is an expensive procedure and may not always be covered by your insurers. Additional risk factors for dental caries include: Pain, swelling, and bleeding due to surgery. Anesthesia problems such as nausea, vomiting, and insomnia.
Can a failed dental implant be replaced?
In most cases, a supportive recovery can be performed without surgery. Your dentist can create a new crown, bridge, or dentist and reattach it to the following. If your correction fails, contact your dentist immediately.
Is it worth getting teeth implants?
The dental floss is treated as your natural teeth: Just brush and floss them at least twice a day. If you are wondering, â € neDid the teeth be implanted? Â € The answer is, “Yes!” While the process is lengthy, the end result for dental implants is worth investing in time and cost.
What is the success rate of dental implants?
The root canal is an integral part of surgery that deals with the jaw bone or skull to support a dental procedure such as a turban, a bridge, a tooth, a facelift or to act as a valuable anchor. 90% â € “95% rahoton 95 95% reported as success in 10 years.
How long does the pain last after a dental implant?
You Can Recognize Sickness & Other Symptoms Up to 7 Days After about 3-7 days, you may still feel pain and tenderness near the implant site. However, it should start to get less heat. You can return to work or school within 1-3 days after surgery.
How long does the heat and swelling last after dental implants? Most patients will have a full recovery within 1-2 weeks after surgery. Your implant may have a slight pain under pressure, but by the end of two weeks, you should experience slight numbness, swelling, and pain. Around this time, you will visit Dr. Burden to track transplantation.
How long should implant hurt for?
How long does a dental implant hurt? It is important for patients to experience some pain after the dental implant operation. Initially, the discomfort may last from one to two days. However, some patients may continue to experience pain at the implanted site for up to 10 days.
What helps pain after dental implant?
Pain After Dental Surgery Hot treatments are needed daily after dental surgery. If you can take ibuprofen (Motrin® or Advil®), take 400â 600 600 mg every 6 hours for 8 hours or as directed by your doctor. Ibuprofen helps with pain and as an anti-inflammatory.
Why does my tooth implant hurt so much?
Most often, toothache comes from sweat and bone around the implant. Dental caries, peri-implantitis, is the most common cause of pain around dental implants. This is when bacteria begin to invade the bone around the implant. It looks like a sack that encloses with a drawstring.
Why does my dental implant hurt so much?
Most often, toothache comes from sweat and bone around the implant. Dental caries, peri-implantitis, is the most common cause of pain around dental implants. This is when bacteria begin to invade the bone around the implant. It looks like a sack that encloses with a drawstring.
How long should dental implants hurt?
How Long Will Pain Taken From Planting to Reduction? In most cases, the discomfort will increase within about 3-5 days after treatment, and then begin to subside rapidly. In the first week after surgery, you should feel a little, if any, discomfort and pain.
Is it normal for an implant to hurt?
It is not uncommon for a healthy plant to cause severe pain and discomfort after two weeks. At this time, it should be usually cured and without pain. You need to see Dr. A senior or an experienced dentist for a future appointment to find out the source of your pain.
Is it normal to feel pressure after dental implant?
At this point, you should not feel any discomfort or pain at all, although your implant may be a little soft if you press it. There should be a slight swelling (if any) swelling and weakness. It is very uncommon for severe pain for 1-2 weeks or more after your teeth have been placed.
How long does it take for a tooth to feel normal? After about 1-2 weeks, the area around your implant will recover completely. Do not feel severe pain or discomfort, and there will be no bleeding and little to no swelling or inflammation around the area. During this time, you may be able to engage in strenuous physical activity such as running and continuing your daily diet.
How do you know if your body is rejecting a dental implant?
We have listed the symptoms you should take care of after getting a dental implant.
- Severe Illness and Depression. …
- moved behind Danko near the transplant. …
- Difficulty in Chewing and Biting. …
- Changing and Posting and Posting. …
- Kumbura Gums. …
- Dasa Micro-Movements. …
- Sudden Allergic Response. …
- Nika Hakora.
How do you know if your body is rejecting a tooth implant?
This is when the body refuses to transplant. Signs of rejection include increased temperature at the transplant site, swelling, fever, and chills. The heart of the teeth implanted in the upper jaw may protrude into the sinus cavity. Damage to the area around the implant can loosen the implant, which can lead to failure.
Can dental implants be rejected by the body?
Seriously, your body may refuse to plant a tooth. But, the good news is that it is very difficult. Planting teeth are the most flexible and sustainable replacement of root canals, with up to 98% success rate.
Why do I feel pressure in my tooth implant?
Attention When Putting Pressure On A Plant It should feel like a normal tooth. Attention during bites may mean that the plant is infected, or that it is not properly attached to the jaw and gum tissue.
What does a failing dental implant feel like?
If there is a failure to implant a tooth, you will experience the excruciating pain and discomfort that comes through the waves. This heat occurs much after the procedure. If you experience any of these, it is best to visit your dentist before your time is up.
Is it normal for a tooth implant to be sensitive?
After treating a missing tooth with implant dental implants, the last thing you expect to find is attention since it is not connected to the nerve or joint. Unfortunately, if you experience discomfort that feels like a toothache, it is a sign that your teeth are failing.




Comments are closed.