What can go wrong with dental implants
How long do titanium dental implants last?
With a titanium root and a porcelain crown, a dental implant could last up to 25 years. This may interest you : Do dental implants stain. However, this incredibly durable combination is not enough to guarantee that a dental implant will actually last that long.
Do titanium implants wear out? Titanium dental implants can cause corrosion and wear. Particles and ions of titanium and titanium alloy components due to corrosion and wear can be deposited in the surrounding tissues and inflammation reactions can occur.
How often do titanium implants fail?
Dental implants have a high success rate, but some people experience dental implant failure. See the article : How tight should dental implant crown be torqued down. It is estimated that about 5 to 10 percent of dental implants fail, either shortly after a procedure or months or years later.
Why do titanium implants fail?
Current titanium dental implants have a high success rate; however, failures are still reported [3,4,5]. The cause of these implant failures can be poor oral hygiene, uncontrolled deposition of plaque and calculus around the implant causing peri-implantitis or occlusal problems.
Do titanium implants need to be replaced?
Titanium dental implants are designed to be permanent. However, you may need to replace them after several years.
Can titanium implants cause problems?
One of the causes of implant failure can be attributed to allergic reactions to titanium. Read also : Bone Graft Tooth. There have been reports of hypersensitivity reactions such as erythema, urticaria, eczema, swelling, pain, necrosis, and bone loss due to titanium dental implants [15, 67, 68].
What are the symptoms of titanium allergy?
Clinical characteristics of hypersensitivity to titanium. Researchers have described various clinical manifestations in patients with allergy to titanium, including episodes of urticaria, eczema, edema, redness, and itching of the skin or mucous membranes, which may be localized or generalized.
How do you know if your body is rejecting titanium?
Seminal studies cited by the International Journal of Implant Dentistry report that symptoms of allergy to titanium include: Erythema (reddening of the skin, in this case, in the tissues around the implant) Urticaria (urticaria that can be seen on the skin or on surface of the gums) Eczema (itchy inflammation of the skin or gum tissue)
How long do titanium implants last?
The short answer is that dental implants, the titanium screws that fuse with the jawbone, are made to last a lifetime. However, the visible part of the tooth replacement system, the dental crown, needs to be replaced every 5 to 15 years.
Do titanium implants need to be replaced?
Titanium dental implants are designed to be permanent. However, you may need to replace them after several years.
How long do titanium teeth implants last?
With regular brushing and flossing, the implant screw itself can last a lifetime, assuming the patient receives regular dental checkups every 6 months. However, the crown typically only lasts 10-15 years before it needs replacement due to wear.
What happens when your body rejects an implant?
Swelling or pain. Necrosis (death of cells or tissue, in this case, around the implant) Toxic reactions in other tissues, causing yellow nail syndrome (which can also affect the lungs and airways) Bone loss.
Can a failed implant be replaced?
In most cases, the implant-supported restoration can be replaced without surgery. Your dentist can fabricate a new crown, bridge, or denture and reattach it to the underlying abutment. If your restoration fails, contact your dentist immediately.
How many times can dental implants be replaced? When maintained with proper hygiene and controls, dental implants can last a lifetime. The crown attached to the implant will generally need to be replaced every 15 to 20 years, although in some cases it can last for several decades.
Can you get another dental implant if one fails?
For some people, replacement of the failed dental implant may be possible, so a new implant can be placed. However, this will depend on the reason for the problem in the first place and unsuccessful removal of the dental implant may be needed, and a new implant may not be a viable option.
Can you redo a tooth implant?
Most of the time, the patient will choose to replace the failed dental implant with the placement of another implant. Replacement of a failed dental implant with a second implant has variable survival rates in the literature and have been reported to be in the range of 69% to 91%.
Can you have 2 dental implants next to each other?
Patients can have two dental implants side by side, if they are missing two teeth side by side. In most cases, if patients are missing two teeth next to each other, they will need 2 dental implants.
How do you fix a failed implant?
The first step in repairing a failed dental implant is to contact an implant dentist. He or she will diagnose the reason for the failure and then devise the necessary course of action.
Is dental implant failure common?
Dental implants have a high success rate, but some people experience dental implant failure. It is estimated that about 5 to 10 percent of dental implants fail, either shortly after a procedure or months or years later.
Can you repair an implant?
Repairing the damage: It is possible to repair the damage from a chipped dental implant and requires an experienced dentist to use a special composite material to make any necessary repairs. 2. Replace the implant: Depending on the extent of the damage, the entire implant may need to be replaced.
Can you redo a tooth implant?
Most of the time, the patient will choose to replace the failed dental implant with the placement of another implant. Replacement of a failed dental implant with a second implant has variable survival rates in the literature and have been reported to be in the range of 69% to 91%.
Can a failed implant be fixed?
It is possible to fix it. Fortunately, failed dental implants can be treated quickly. But your dentist will prioritize protecting your oral health above anything else. This means that the failed dental implant will be completely removed before the best course of action is determined.
Can a dental implant post be removed?
Yes, it is possible to remove a dental implant from a patient’s mouth, although it is considered a permanent tooth replacement option.
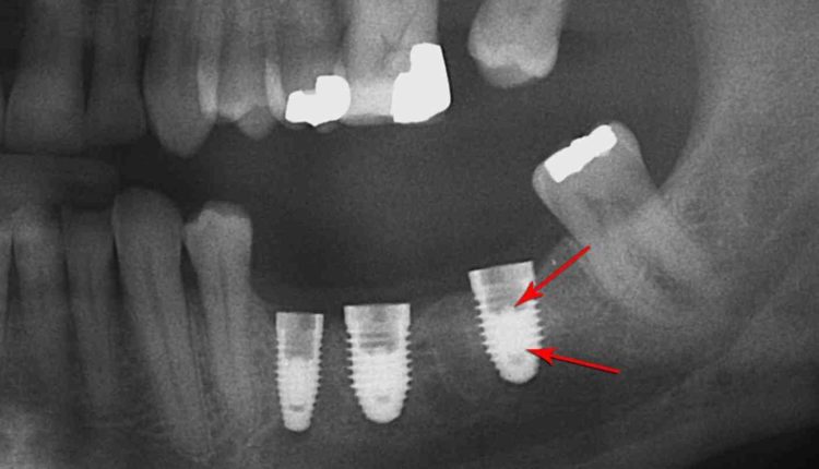
What is the most common cause of implant failure?
Dental implants can fail for a variety of reasons, but the most common, and the most preventable, are infection and bone loss. Peri-implantitis is a type of infection that forms around the implant and within the gums.
How common is it for an implant to fail? Dental implants have a high success rate, but some people experience dental implant failure. It is estimated that about 5 to 10 percent of dental implants fail, either shortly after a procedure or months or years later.
What are the three major reasons for failure of implants?
Below are 7 of the main reasons why a dental implant can fail:
- #1 Implant misalignment: …
- #2 Mistaken impressions. …
- #3 Peri-implantitis and other infections. …
- #4 Failed osseointegration. …
- #5 Nerve damage. …
- #6 Failure of the implant itself. …
- #7 Foreign body rejection and allergic reaction.
What are the 3 parts of an implant?
The three components are the implant post or screw, the abutment that is attached to the implant post, and the dental prosthesis or restoration, which can be a crown, bridge, or denture.
What are the reasons for implant failure?
Implants can fail for a number of reasons, including lack of integration, implant fracture, implant malposition causing damage to vital structures (such as the inferior alveolar nerve, sinus membrane, a natural tooth, or an adjacent implant ) and advanced bone loss. around a loaded and integrated implant, resulting in…
What causes early dental implant failure?
Lack of primary stability, surgical trauma, and infection appear to be the most important causes of early implant failure. Early signs of infection may be an indication of a much more critical outcome than if the same complications occur later, due to impaired healing of the primary bone.
How soon can a dental implant fail?
Problems or complications from dental implant surgery can occur shortly after the procedure or years later. Early tooth failure occurs within the first three to four months of the procedure. Keep in mind that you will experience some degree of pain or discomfort after surgery, which can be controlled with pain medication.
Can a failing dental implant be saved?
Peri-implantitis is generally the result of improper maintenance and poor oral hygiene habits. However, defective implants can be treated and restored.
How do you remove a failed dental implant?
The Removal Procedure Your dentist or oral surgeon will take great care to minimize damage to your jaw when removing the implant. However, due to the nature of the procedure, it is often necessary to remove some of the tissue around a failed implant.
Should antibiotics be taken after a dental implant? However, antibiotics are helpful in preventing postoperative infections after implant placement. To achieve high survival rates and long-term success of dental implants, antibiotic prophylaxis is required.
What kind of antibiotic for dental implant infection?
The most common first-choice drug was amoxicillin, with amoxicillin-clavulanic acid being the second choice. Conclusions: The majority of dentists from different countries do not prescribe systemic antibiotic prophylaxis for dental implant surgery following the available scientific evidence and could be overprescribing.
How do you get rid of an infected dental implant?
Depending on the level of infection, your dentist may prescribe special mouthwashes or present a combination of other options to get your implant healthy again. Treatment options may include antibiotics, surgery, laser therapy with surface decontamination, mechanical debridement, or antimicrobial therapy.
What antibiotics treat infected dental implants?
Although numerous antimicrobial agents are available, only a limited number of systemic antibiotics such as amoxicillin; phenoxymethylpenicillin (PcV); clindamycin; metronidazole; and the combination of amoxicillin and metronidazole have been widely used in the field of dental implantology (Table 1).
Can dental implant be reversed?
Yes, it is possible to remove a dental implant from a patient’s mouth, although it is considered a permanent tooth replacement option.
Can dental implants be removed easily?
Only a small piece of bone tissue is cut, usually no more than 1 mm. Often, that is enough to loosen the implant so it can be removed. Once the implant is removed, the area is cleaned. The oral surgeon will then examine the area to see if a bone graft is required to replace the lost bone tissue.
Can implant teeth be changed?
Not all failed implants can be replaced. Although patients may need additional bone grafts to support a new titanium post, removal of the framework can leave a large hole in the gums that is too wide to support a new device. Certain factors can increase a patient’s risk of implant failure, including: Gum disease.
How do you treat a failed dental implant?
A failed dental implant is easily removed under local anesthesia. If an implant needs to be replaced, it will be removed and the area gently cleaned. If the bone is intact around the area of the removed implant, a bone graft will not be necessary.
Can a failed implant be repaired? It is possible to fix it. Fortunately, failed dental implants can be treated quickly. But your dentist will prioritize protecting your oral health above anything else. This means that the failed dental implant will be completely removed before the best course of action is determined.
Can you get another dental implant if one fails?
For some people, replacement of the failed dental implant may be possible, so a new implant can be placed. However, this will depend on the reason for the problem in the first place and unsuccessful removal of the dental implant may be needed, and a new implant may not be a viable option.
Can you redo a tooth implant?
Most of the time, the patient will choose to replace the failed dental implant with the placement of another implant. Replacement of a failed dental implant with a second implant has variable survival rates in the literature and have been reported to be in the range of 69% to 91%.
Can you have 2 dental implants next to each other?
Patients can have two dental implants side by side, if they are missing two teeth side by side. In most cases, if patients are missing two teeth next to each other, they will need 2 dental implants.
Who is responsible for dental implant failure?
While dental implants can fail for a number of reasons unrelated to your prosthodontist’s competence or performance, some failures are the dentist’s fault and liability is required by law. If you have been the victim of a failed dental implant caused by your dentist’s negligence, Lance Ehrenberg, Esq.
What do you do if a dental implant fails?
Treatment of failed dental implants A failed dental implant is easily removed under local anesthesia. If an implant needs to be replaced, it will be removed and the area gently cleaned. If the bone is intact around the area of the removed implant, a bone graft will not be necessary.
Do dental implants have a guarantee?
Nothing is guaranteed for life. According to Dr. Stuart Froum, a periodontist in New York and author of the textbook Dental Implant Complications: I Never Give a Guarantee.




Comments are closed.