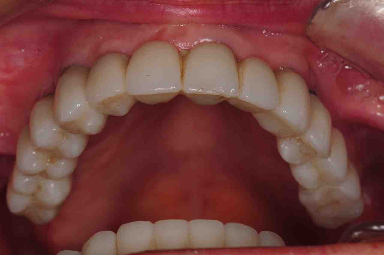
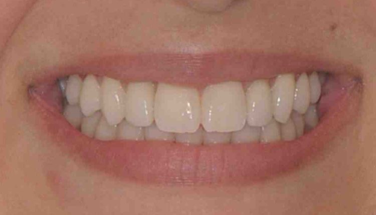
What do a full upper dental implants look like
How many implants do you need for upper teeth?
How many implants are needed for upper dentures? Typically two to four implants are needed to get the best grip on upper dentures. New technology makes it possible to use the implant-supported upper prosthesis. This may interest you : Dental Insurance For Implants. Upper denture implants only need four implants to care for upper denture implants.
How many teeth do you need for a full dental implant?
The implants will hold the crowns and the crowns will hold 1 to 3 pontics between them. Thus, in total, two dental implants can replace up to five teeth.
How many implants do you need for 4 missing teeth?
Depending on the location of the implants and the volume of bone density in your jaw, as few as two implants can be used to support a four-tooth bridge. On the same subject : What is the cost of dental implant.
How many implants do I need for a full set of teeth?
Your entire set of teeth or arch is supported by just 4 to 6 implants. The cost of treatment is more reasonable compared to that involving 8 to 10 implants. To see also : How Much Is Tooth Implants. The solution is designed to last and shine and work closely with your natural teeth. Longer implants are generally used for patients who have less bone mass.
Can you get dental implants on the top?

On top of a dental implant post is a restoration. It is usually a single crown that replaces one tooth. But dental implants can also support multiple missing teeth with a bridge and even secure dentures.
Do teeth implants hurt?
For most patients, dental implants hurt after the anesthesia wears off and after the procedure is done. However, this dental implant pain can be controlled by taking a locally available pain reliever, such as ibuprofen.
What is the average cost for permanent dentures?
See below for the different types of permanent dentures and their average costs: Full or full dentures: $ 1,300 to $ 3,000 (for the top or bottom, not both) Partial dentures: $ 700 to $ 1,800. Push-in or implant dentures – up to $ 6,000 each.
How much do dental implants cost in 2020?
But how much will dental implants cost in 2020? That may depend on the type of dental implant you need, how many implants, and whether or not dental implants are covered by your insurance company. Even the best dentists in the world will do a dental implant for around $ 1,000 to $ 2,000 per tooth.
What is the average cost of full upper dental implants?

The cost of these types of implant-supported dentures can range from $ 7,000 to $ 90,000. The average cost of full mouth implants is approximately $ 34,000. An upper or lower set of dentures can cost between $ 3,500 and $ 30,000. Full mouth dental implants are strong and safe.
Why dental implants are bad?
Dental implants have a high success rate of around 95% and lead to a better quality of life for many people. However, dental implants can cause complications, such as infections, receding gums, and nerve and tissue damage.
Is there a cheaper alternative to dental implants?
Full or partial dentures Full or partial dentures are cheaper options compared to dental implants. Dentures rely on natural suction, as well as adhesives and pastes, to stay in place. Partial dentures are popular alternatives to implants for your molars or other types of teeth.
What does a full mouth of dental implants cost?

The average cost of full mouth dental implants is between $ 12,000 and $ 25,000 per jaw. This total cost is significantly cheaper than the $ 40,000 it would typically cost for a full set of traditional implants.
How can I fix my teeth with no money?
There are several options available to those who need free or low-cost dental treatment. For example, your dentist may refer you to a community clinic that offers dental treatment for a low fee, or a nearby dental school where trainees can treat you for free or at low cost.
Can you get a full set of dental implants in one day?
The Teeth in a Day procedure is unique in that fully functional, temporary teeth can be placed the same day you receive dental implants. These temporary teeth remain in place until your custom permanent teeth are ready to be placed.




Comments are closed.