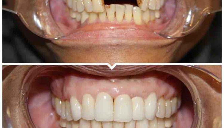
What is experience with dental implants
How long before dental implants feel normal?

Depending on how quickly you heal, your mouth will start to feel again 1-2 weeks after the implant placement surgery. On the same subject : Dental Cap Vs Crown. You shouldn’t feel any more pain at this point, and you can eat a normal diet and continue with strenuous activities like exercising.
How long does it take for gums to heal after dental implants?
After placing the augmentation, your gums must heal in about two weeks before the artificial tooth can be attached. This may interest you : How much does a single dental implant cost.
How long does it take gums to heal after implants?
Before the gum tissue is sutured, the cover is attached to the dental implant. Recovery can take weeks, depending on the patient’s medical condition. To see also : Can you use an elctronic pulse massager with a dental implant. Another operation will be performed after four to six months have passed. By then, the dental implant will have already fused with the implant metal.
Why am I so tired after dental implants?
Why fatigue is normal after receiving dental implants These reasons may include: anxiety due to the procedure. Effects of local anesthetics. The body fights bacteria that enter the bloodstream during the procedure.
Does having a tooth implant hurt?

However, dental implant procedures are usually painless and there are many benefits to having dental implants. Although the procedure can be a bit uncomfortable, implants could help prevent further problems and discomfort.
Are you put to sleep for a dental implant?
Conclusion. Patients are usually under sedation during dental implant surgery to protect against pain during this invasive procedure. Most patients are placed under conscious sedation, while local anesthesia is applied to the area of the mouth being worked on.
How long does a tooth implant hurt?
How much does a dental implant hurt? It is common for patients to feel pain after a dental implant procedure. Initially, the discomfort may last for one to two days. However, some patients may continue to feel pain at the implant site for up to 10 days.
What hurts more tooth extraction or implant?
Although there is no cut-out response, as each person perceives pain differently and procedures are highly individualized, most patients report a feeling of less discomfort during implant surgery than in tooth extraction procedures.
What is bad about dental implants?

The most common disadvantage of dental implant placement is that it is an expensive procedure and does not always have to be covered by insurance providers. Additional potential disadvantages of dental implants include: pain, swelling, and bleeding from surgery. Complications of anesthesia such as nausea, vomiting and drowsiness.
Who is not suitable for dental implants?
People taking certain medications, such as steroids or drugs that suppress the immune system, may also be unsuitable candidates. And people with certain habits, like people who grind or grit their teeth hard, can put too much pressure on the implants, causing long-term damage.
Does food get under dental implants?
DENTAL INSTALLERS CHEW THROUGH FOOD ONLY LIKE REGULAR TEETH So don’t assume you will be limited to certain foods as you are with other tooth replacement options. You can really eat any type of food or drink any type of drink you want after you have received dental implants.
Are people satisfied with dental implants?

Studies show that the long-term satisfaction of patients with dental implants is greater than 90%, which far surpasses other possibilities of tooth replacement. What’s more? With proper care, dental implants can last a lifetime, and are therefore a more cost-effective solution than dentures or bridges.




Comments are closed.