What is the average cost for dental implants
Are dental implants covered by insurance?

Basic dental insurance policies do not normally cover the dental implant procedure. You will need to consider the coverage of cosmetic dental procedures that cover a portion of dental implants. Dental implant insurance coverage can be up to 50% of the cost, which means that insurance covers half of the procedure.
How much are the cheapest dental implants?
In general, however, simple dental implants cost between $ 1,500 and $ 2,000 per implant. Not for every procedure, but depending on the implant. On the same subject : Dental Implants Costa Rica. Some patients will need only one implant, while others will need several missing teeth. Note that this is only the cost of the dental implant.
How painful is dental implants?
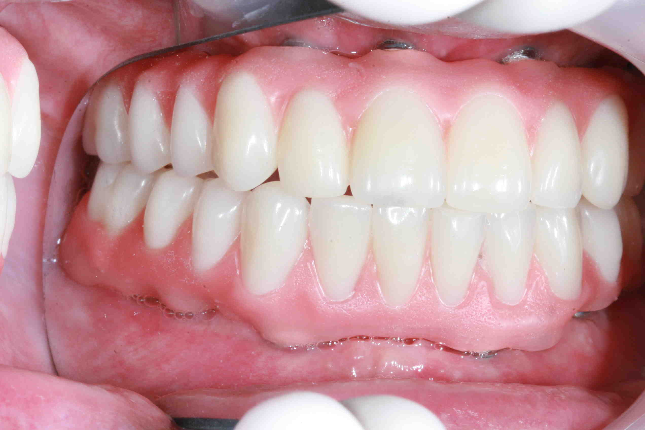
This is basically the answer to your question, “Do dental implants hurt?” Local anesthesia will deceive the nerves surrounding the area of the dental implant. Along with the nerves, you can expect to feel no pain during the dental implant procedure. On the same subject : How Is A Crown Done. Sometimes you may feel pressure, but that shouldn’t cause you any discomfort.
How can I get free dental implants?
The Cosmetic Dentistry Aid (CDG) Program provides partial care to people who need cosmetic services such as dental implants. Although the CDG does not pay the full cost of getting dental implants, its partial subsidies can make implants much cheaper.
How much do dental implants cost in 2020?

Oral Implants The cost of this type of implant-assisted prosthesis can range from $ 7,000 to $ 90,000. The average cost of oral implants is about $ 34,000. On the same subject : Mouth Types. A top or bottom prosthesis set can cost between $ 3,500 and $ 30,000. Mouth-filling dental implants are strong and safe.
Why dental implants are bad?
When oral hygiene fails, both the teeth (or dental implants) and surrounding tissues (gum, periodontium, and alveolar bone) suffer from high concentrations of microbial products, which can lead to decay, gingivitis, periodontitis, or peri-implantitis.
Is there a cheaper alternative to dental implants?
Mini implants are one of the most advanced and effective solutions for replacing natural teeth. They can be a solution for those with significant bone loss or those looking for a cheaper option for complete dental implants.
What is the downside of dental implants?

The most common disadvantage of getting a dental implant is that it is an expensive procedure and may not always be covered by insurance providers. Potential additional disadvantages of dental implants include: Pain, inflammation, and bleeding due to surgery. Nausea, vomiting and drowsiness like complications from anesthesia.
How many implants are needed for full mouth?
How many implants are needed to form permanent full-arch teeth? When replacing an entire row of teeth with a full arch-assisted prosthesis (usually called an implant prosthesis), dentists typically use two to six teeth from the implant anywhere to anchor the restoration site.
Can dental implants be done in one day?
Teeth are a one-day procedure because the teeth can be placed temporarily and fully functional on the same day you receive dental implants. These temporary teeth will stay in place until you are ready to put on your personalized and permanent teeth.
What do all on 4 implants feel like?
4-tooth implants are designed to be comfortable because they do not press on the teeth, like regular dental implants. Soon you will be able to bite with greater force and again you will have the normal sensation of enjoying cold or cold food and all their flavors.
How much do dental implants cost in Australia?

Typically, in Australia, the price of a straight dental implant can range from $ 3,000 to $ 6,500 per tooth.
Why are teeth implants so expensive?
If you are wondering why dental implants cost so much, the reasons are: Dental implant is a cosmetic and complex process. You pay for the dentist’s skills. Implant poles and dental crowns increase the cost.
Is a dental implant worth it?
In general, however, simple dental implants cost between $ 1,500 and $ 2,000 per implant. Not for every procedure, but depending on the implant. Some patients will need only one implant, while others will need several missing teeth. Note that this is only the cost of the dental implant.3
How much is screw in dentures?
In general, however, simple dental implants cost between $ 1,500 and $ 2,000 per implant. Not for every procedure, but depending on the implant. Some patients will need only one implant, while others will need several missing teeth. Note that this is only the cost of the dental implant.4


Comments are closed.