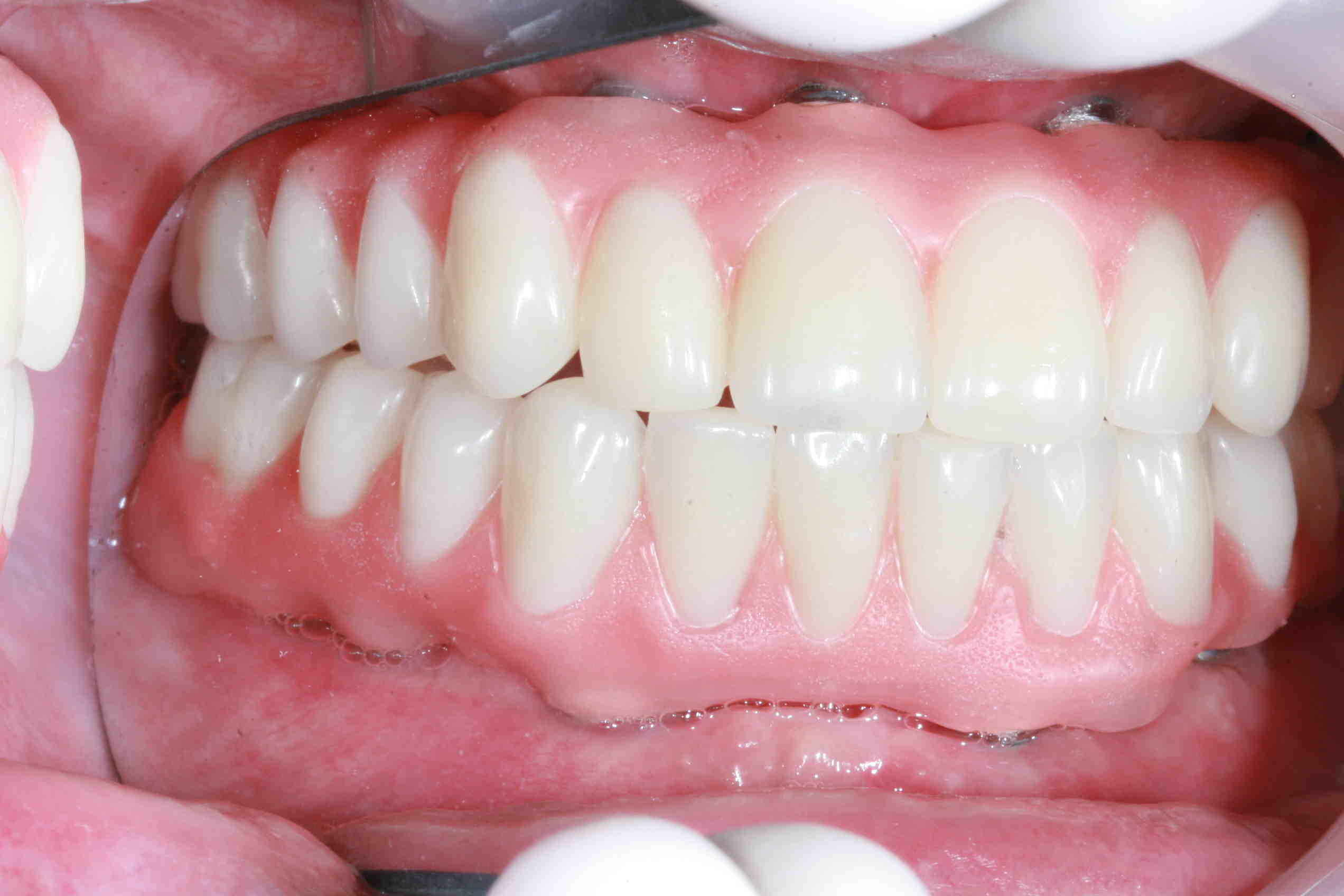
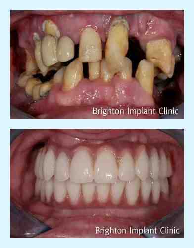
What is the cost of full dental implants
How much does it cost to replace all your teeth?

What if you can’t afford dental implants?
There are a few resources you can research for financial aid. The first one is your periodontist. To see also : Low Cost Dental Implants. Many periodontists are willing to set up financing options, such as a payment plan. They may also be aware of insurance plans that can help cover the cost of your plants.
How can I get free dental implants?
The Cosmetic Dentistry Grants Program (CDG) provides partial grants to people in need of cosmetic services such as dental implants. Although CDG does not pay the full cost of obtaining dental implants, its partial grants can make implants much more affordable.
How can I fix my teeth with no money?
Take a look at these three great options for finding financial help for dental work. Read also : How Much Does A Dental Implant Cost.
- Dental financing. If you need to finance the cost of dental work, there are a few options available. …
- Dental grants. …
- Online fundraising. …
- Dental schools. …
- Public dental clinics. …
- Smiles Change Life. …
- Dental Lifeline Network. …
- United Way.
What is the average cost of full dental implants?

How much should dental implants cost in 2020?
The total expected costs are typically between $ 1,500 and $ 6,000. This amount is the average amount that patients pay out of pocket without the help of a dental insurance plan. On the same subject : Dental Implant Pricing. This estimate includes surgery and initial consultation, however, the price may vary based on other circumstances.
Does food get under implants?
While it is possible for food to stick under an implant bridge or implant denture, they are easier to clean than natural teeth. Also you never have to worry about the food particles that collect on the dental implant. … Brushing and cleaning the All on 4 isn’t hard, but flossing can be.
How much do full upper and lower dental implants cost?

How many implants are needed for full mouth?
Generally, implant dentures that are being utilized for complete tooth replacement on the upper or lower dental arch require only a few dental implants to successfully and comfortably stabilize the denture. For some patients, two to four dental implants are sufficient. For others, six or more implants may be required.
How much is 6 dental implants?
Expensive All-On-6 Dental Implants – All-On-6 Dental Implants can cost anywhere from $ 24,000 to $ 31,000.
How much does 4 front teeth implants cost?
The cost of All over 4 Dental Implants starts at $ 10,950 per arch for teeth a day with All-on-4® dental implants, from 2019. Teeth in the Day with All-on-4® Dental Implants is a treatment plan for patients who do not want dentures to treat bad teeth, broken plugs, failing teeth, broken bridges, and missing teeth.
How much does it cost to get a full mouth of dental implants in Canada?

Why are dental implants so expensive?
If you have been wondering why dental implants are so expensive, the reasons are: Dental Implant is a cosmetic and complex process. You pay for the skills of the dentist. Implant locations and dental crowns add to the cost.
Will insurance cover dental implants?
Does dental insurance cover implants? A short answer is – yes. Some insurance plans cover portions of dental implants. However, it is important to understand the type of treatment you need and what your plan will pay for before moving forward.
How much does full mouth restoration cost?
It is unreasonable to expect a reconstruction to cost about $ 30,000 to $ 45,000 or more. Dental insurance may pay for some costs associated with full mouth reconstruction. It depends on your diagnosis and the treatment plan your dentist has developed, as well as your dental insurance coverage.



Comments are closed.