Which dental specialist has training in dental implants?
What is the best doctor to do dental implants?

An oral surgeon is probably the safest option for dental implant placement, as he specializes in oral surgery. Read also : Tooth Extraction For Dentures Recovery Time. Therefore, anyone who is vigilant about the operation can feel assured that they are in good care by having an oral surgeon perform the operation.
Can general dentists do bone grafts?
Bone graft after extraction If you remove a tooth, then your general dentist can make a simple bone graft to fill the extraction site and keep the bone from re-decorating during the same visit. See the article : Can i get a dental implant years after extraction?.
Can a dentist do a dental implant?
Many implant treatments can be completed in the dentist’s chair and only patients with complex complications and / or surgeries would need to be admitted to hospital. Read also : Are dental implants covered by medicare. Quite often, a simple dental implant can be placed on the same day, and you are treated as an outpatient.
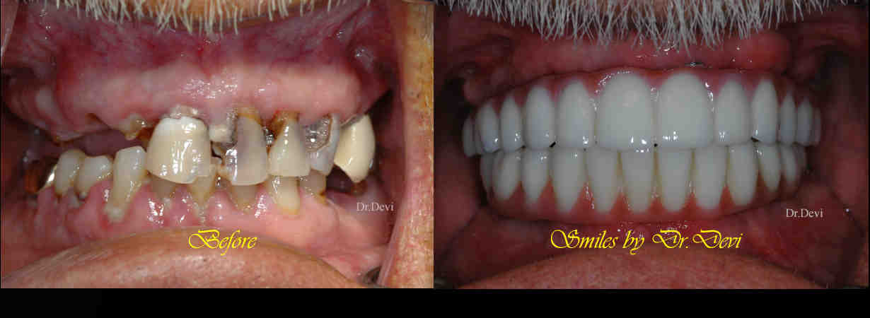
Can you get a full mouth of dental implants?
In cases where all teeth need replacing, full mouth treatment using dental implants is an effective option for many patients. Full mouth implant treatment is just a way to fully restore appearance, comfort, and function compared to healthy natural teeth.
Which dental specialist can be skilled in placement of dental implants?

Training. A periodontist is a dentist specializing in the prevention, diagnosis and treatment of periodontal disease, and in the installation of dental implants. Journals are also experts in treating oral irritation.
Who is better for dental implants oral surgeon or periodontist?
Journals receive the highest level of training from any dental professional in implant procedures. Dental implants may be the best choice for a person whose gum disease has reached the point of untreated infection.
What’s the difference between an endodontist and a periodontist?
Both of these professionals are specialists in the field of dentistry. Periodontists are concerned with gum health and the treatment of gum disease and inflammation. On the other hand, Endodontists specialize in tooth roots and oral pain. Patients are most often referred for a complex root canal.
How do I choose a dental implant specialist?

Here are some things to consider when looking for a dental implant specialist.
- Ask for Referrals. …
- Look at Their Results and Testimonials. …
- See Their Qualifications. …
- Take Time During Consultation. …
- Make sure you are comfortable. …
- Quick List of Questions to Ask.
What is implant tooth made of?
Dental implants are made of titanium alloy (similar to hip implants, shoulder implants, and knee implants), which are extremely compatible, and a titanium allergy is very rare! Currently, there are no proven alternatives to titanium dental implants.
Where is the best place to get dental implants?
The Best Country for Dental Implants Abroad
- For Americans, Mexico, Costa Rica, and Colombia may be the best option.
- For Australians, Thailand, Vietnam & amp; India fits the bill.
- For Europeans, Romania & amp; Hungary is a popular choice.
What is a periodontist?
A periodontist is a dentist specializing in the prevention, diagnosis and treatment of periodontal disease, and in the installation of dental implants. Journals are also experts in treating oral irritation.
What career studies dental implants?

Prosthodontic Career Considerations Implant training is often limited to simple implant restorations. In a postdoctoral prosthodontic program, students learn to treat patients with advanced dental needs.
How much do dentures cost at affordable dentures?
| Product Options | Replacement Dentistry | New Dental Dresser Pack * |
|---|---|---|
| UltimateFit Dentists | Starting at $ 1,189 | Starting at $ 1,539 |
| Premium Dentists | Starting at $ 859 | Starting at $ 1,209 |
| EconomyPlus dentists | Starting at $ 569 | Starting at $ 919 |
| Economy Dentists | Starting at $ 335 | Starting at $ 685 |
How do you get dental implants?
Here is a summary of the qualifications for each status
- Graduate of Dental Implant Program of at least 2 years duration.
- Board-certified specialist in oral and facial surgery, periodicals or prosthodontics.
- Expert without Board certification.
- General Dentist.
- Associate Fellow or AAID Fellow.
How much do implant dentists earn?
Your implant center income at the end of the sixth year has gone from $ 5,000 to $ 175,000 a year and referral numbers to the specialist have increased by 500 percent, making this a shared win-win financial reward.



Comments are closed.