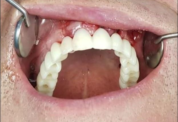
What does a dental implant look like
Do full mouth dental implants look real?

How many teeth can an implant hold?
Your dentist can place one implant at each end of the gap. The plants will support crowns, and the crowns will support 1 – 3 bridges between them. Thus, in total, two dental implants can replace up to five teeth.
Do dental implants feel weird?
Because a dental implant is replacing a missing tooth, you have no sensation in the implant itself. Every sensation you have comes from the surrounding rubber tissue. On the same subject : What is a dental implant. This means that the implant does not feel exactly like your natural teeth.
Are dental implants noticeable?
Are Dental Implants Remarkable? No one, not even you, will be able to tell you that you have a dental implant. The implants become feel completely natural in the mouth. Read also : What Does A Tooth Crown Look Like. The dentist matches the color and shape of your other teeth with the implant.
What are the negative effects of dental implants?

Does food get under dental implants?
Unlike normal teeth, dental restorations are completely consolidated in place, so food (and other things) cannot get stuck underneath. If food ever sticks to your plant, it could mean the plant is misplaced. This may interest you : Fake Teeth Name. This can be easily fixed with a simple low cost repositioning.
How much do dental implants cost in 2020?
Implants on multiple teeth can cost between $ 1,500 and $ 30,000. This estimate can be as much as $ 50,000 depending on the specific case, dentist performing the procedure, and geographic region. When two to four teeth are being replaced with high quality implants, the procedure can cost between $ 6,000 and $ 10,000.
Who is not suitable for dental implants?
People who take certain medications, such as steroids or drugs that suppress the immune system may not be suitable candidates, either. And people with certain habits, such as people who itch or close their teeth severely can put extra pressure on implants, causing long-term damage.
How long does a dental implant procedure take?

Are same day dental implants any good?
Dental Implants have proven a very successful solution for tooth loss. Dental Implants on the same day provide immediate results. Patients do not have to stress over the gaps in their smile. Eating and speaking habits can be restored quickly.
Are you put to sleep during dental implant surgery?
Dental implant surgery will involve some form of anesthesia or sedation that occurs, but the extent of this sedation is entirely up to you and your comfort levels.
How painful is a dental implant?

Is a dental implant worth it?
So, is dental implant surgery worth all the trouble? Because of their durability, appearance, and functionality, dental implants are probably the best choice for replacing missing teeth, giving you a long-lasting option that can last for the rest of your life.
What hurts more tooth extraction or implant?
While there is no cut and dried response, as each person perceives pain differently and procedures are highly individualized, most patients report feeling less discomfort during implant surgery than in tooth extraction procedures.
How long does a dental implant hurt?
How Long Will It Take For Plant Pain To Reduce? In most cases, the discomfort reaches its peak within 3-5 days after your treatment, and then begins to subside relatively quickly. By the end of the first week after your operation, you should be feeling a little, if any, discomfort and pain.




Comments are closed.