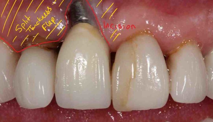
When can sutures be removed in a dental implant
First, there are signs that your wound is healing properly There may be swelling, pain, redness and discharge of clear fluid, but Dr. Gordillo says that is fine as long as it is not too much and does not last more than a week. As the wound begins to heal, new tissue begins to grow on the wound.
When can I drink soda after a bone graft?
Please abstain from alcohol or carbonated beverages for 48 hours after surgery. This may interest you : How Long Does Dental Bone Graft Pain Last. No smoking or smoking through the straw for 48 hours after surgery.
How long does bone grafting take to adjust? Everyone’s mouth is special, and there is no specific time frame for the bone marrow transplant to take place. Typically, it can take anywhere from three months to a year for bone grafting.
Can you drink soda after dental implant?
Avoid dairy products, any carbonated beverages, or any acidic beverages or pulp for the first 24 hours after surgery. On the same subject : What will i look like when i have my front teeth removed and dental implants put in. 24 hours after surgery you can continue to eat a regular diet, eating the right foods for you and avoiding foods that are sharp or swollen.
Can you drink Coke after dental surgery?
DO NOT spit, rinse, suck on straw, smoke, drink carbonated / alcohol, and hot food / water for at least 24 hours.
What can I drink after an implant surgery?
For the first two days after surgery, you will want to stick to all diets if possible. This includes smoothies (nothing sweet), home-made broths and bouillon, substitutes, protein drinks, fruit smoothies, and assorted juices.
How long does it take for dental bone graft to harden?
Balagawa. The section “matures,” or becomes your part, within 3-6 months. Transplantation promises will be made as soon as your seedlings grow up. This may interest you : What is all on 4 dental implant. Strong rinsing should be avoided for the first week so as not to wash dirt.
How do I know if my dental bone graft is healing?
In general, you can expect to feel more normal after a few weeks. After resuscitation, your jaw bone will need time to heal and grow a new jaw bone. Do not feel any pain during this growing process, but be aware that it can take several months.
How long does it take for a dental bone graft to set?
The average time for bone grafting is 4-6 months, depending on bone quality. HISTORY AND HISTORY: Dr.
When can I drink carbonation after bone graft?
Please abstain from alcohol or carbonated beverages for 48 hours after surgery. No smoking or smoking through the straw for 48 hours after surgery. The following nutrients have been found to help cure surgery.
When can I drink soda after bone graft?
Avoid strong washing, spitting, smoking, carbonated soda drinks, and drinking through the straw for the first 2 weeks after surgery as this may interrupt the healing process.
Can I drink milk after bone graft?
Crude milk products contain living organisms that can damage new bones. If the transplant is done alone or with a dental implant, do not use a feeding device for the first 48 hours after surgery.
What helps bone grafts heal faster?
Meals that many patients enjoy following bone marrow include: oatmeal, sprinkled eggs, pudding, fresh fruit, or potatoes. By avoiding foods that may require chewing, patients can speed up the healing process.
How long does bone marrow transplant take for treatment? Although you may be back to normal within a week or two, complete bone healing can take between three and nine months â € “sometimes longer. Recovery times depend on many factors, including the type of implant, the implanted area and the healing power of your body.
How can I make my bone graft heal faster?
Maintaining clean water also prevents nausea and vomiting. Try not to miss a single meal. You will feel better, you will have more energy, less discomfort, and you will recover faster if you continue to eat.
How can I speed up dental bone graft healing?
7 Remedies To Help You Heal faster After Planting Your Teeth …
- Tip # 1: Rest. …
- Tip # 2: Eat Soft, Nutritious Foods. …
- Tip # 3: Stay in the Water. …
- Tip # 4: Use an Ice Pack. …
- Tip # 5: Rinse with Salt Water. …
- Tip # 6: Don’t smoke. …
- Tip # 7: Good Mouth Cleaning.
What helps a bone graft heal?
Bone Recovery You can control it by taking any prescribed medication or OTC. Your specialist doctor may be able to use antibiotics. It is important that they are taken correctly to prevent infection. You will want to eat soft foods for a few days to avoid depression.
How do I know if my bone graft is healing?
In general, you can expect to feel more normal after a few weeks. After resuscitation, your jaw bone will need time to heal and grow a new jaw bone. Do not feel any pain during this growing process, but be aware that it can take several months.
How do I know if my tooth extraction and bone graft is healing properly?
About 3 days after the extraction of your teeth, your jaw starts to heal and closes near the extraction site. And finally, after 7-10 days after your operation, the opening of your left tooth should be closed (or almost closed), and do not stop softening or swelling.
What are the signs of a failed bone graft?
Symptoms of tooth decay include: Pain or swelling that worsens after the first week. Pus or drain from the bone marrow transplant. back gum (when sweat evaporates from the teeth).
How long does it take for dental bone graft to harden?
Balagawa. The section “matures,” or becomes your part, within 3-6 months. Transplantation promises will be made as soon as your seedlings grow up. Strong rinsing should be avoided for the first week so as not to wash dirt.
What are the signs of a failed dental bone graft?
Symptoms of Osteoporosis
- A lot of tooth glue.
- Reduce oral health.
- Fever.
- Sweat.
- Headache and / or stiffness.
- Clever teeth.
- Plus.
How long does it take for a dental bone graft to set?
The average time for bone grafting is 4-6 months, depending on bone quality. HISTORY AND HISTORY: Dr.
Is a bone graft major surgery?
Major bone grafting procedures are performed in the hospital’s operating room, and require a hospital stay. Bone grafting is usually done when the patient does not have enough bone structure to support and adjust the implant.
How big is the bone marrow transplant? Bone repair is generally safe, but it has some rare risks. There is also a risk that your bones will not heal properly even with your transplant. Most of your specific risk factors will vary depending on the exact cause of your bone grafting.
How painful is bone graft surgery?
Most patients receiving bone marrow transplantation are completely painless and healthy as long as they take antibiotics. Your dentist also has to wait for the bone marrow transplant to connect to the natural bones that are in your mouth.
How long does pain last after dental bone graft?
The patient can expect to experience a level of pain and discomfort after the dental procedures. The pain after surgery should be reduced after three to four days.
How long does it take to recover from a bone graft?
The time required for recovery will depend on the size of the bone marrow or the damage being done. Your recovery may take two weeks to 3 months but bone repair itself will require three months to heal.
How long does it take to recover from a bone graft?
The time required for recovery will depend on the size of the bone marrow or the damage being done. Your recovery may take two weeks to 3 months but bone repair itself will require three months to heal.
How long does pain last after bone graft?
The patient can expect to experience a level of pain and discomfort after the dental procedures. The pain after surgery should be reduced after three to four days.
How long does it take for gums to heal after a bone graft?
In the healing stages of the bones, the wounds in your joints will heal quickly – usually within two weeks or sooner. Removing the healing teeth will take more time. The affected area takes extra time to recover properly wani sometimes up to nine months.
How long does a bone graft operation take?
Bone marrow transplants usually take between 20 minutes and 90 minutes to complete. It will depend on the location of the implant, the amount of implant needed to be implanted and whether there are any other necessary dental procedures required first, such as tooth extraction.
Is bone grafting a major surgery?
Large Grafting Bone Common supplier sites include skull, hip, and knee. Damage that requires a major bone transplant includes when the patient has a traumatic injury, additional surgery, or birth defects. Major bone grafting procedures are performed in the hospital’s operating room, and require a hospital stay.
How long does it take to walk after bone graft?
Your recovery may take two weeks to 3 months but bone repair itself will require three months to heal. However, you would be advised not to engage in strenuous exercise for at least six months and to keep the bone marrow transplant dry.
How do I know if my dental implant is healing correctly?
About 2 weeks after surgery, the plant should be completely cured. You should feel a little-no-softness near the implant, and no pain or discomfort, and it will be time to pull the stitches out, or they will melt on their own if self-dipping stitches are used.
How do you know if a dental implant is safe? Non-corrosive / non-corrosive methods to assess plant stability
- The attention of the surgeon.
- Radio imaging / analysis.
- Cut off strong resistance (for initial stability)
- Enter the torque.
- Turn around.
- Partial test of the seat.
- Modal analysis and Implatest.
- Clicking test.
Is my implant healing properly?
After about 1-2 weeks, the area around your implant will recover completely. Do not feel severe pain or discomfort, and there will be no bleeding and little to no swelling or inflammation around the area. During this time, you may be able to engage in strenuous physical activity such as running and continuing your daily diet.
How do I know if my dental implant is failing?
While there are several possible causes for planting failure, the symptoms are the same. You will know that your dental equipment is failing if you start to experience severe pain or discomfort in or around your dental floss, if your sweat is swollen or inflamed, or if your implant starts to become loose recess.
How long does it take for an implant screw to heal?
On average, the healing time for a dental implant is about four to six months. This allows for complete healing before the crown is placed.
How long does it take for your gum to heal after dental implant?
The gums begin to heal after about three days. Full recovery will occur after one to two weeks. Another way to restore transplantation before transplantation is bone transplantation. Some patients require this in the event of significant bone loss.
How long does it take for dental implant to fuse to bone?
The implant itself is inserted into a hole drilled in the bone, and then left to connect with the jaw bone through what is known as osseointegration. Osseointegration usually takes four to six months to complete.
Do gums heal over implants?
As you recover from a toothache, your teeth will gradually grow closer to the dental floss to provide support as they do to your natural teeth. However, your dentist will also monitor the growth of your gums during the healing and recovery process to ensure that sweat does not grow on the plant as a whole.
How long does it take dissolvable stitches to dissolve in mouth?
Just remove the cover from your mouth and discard it. Most stitches will melt over 4 to 5 days but if the stitches need to be removed no sleeping pills or needles are needed. It only takes a minute or so, and there is no discomfort associated with this procedure.
How long does sewing melt in the sweat? Within 3 to 14 days, your sutures should fall off or melt. For unbearable stitches, your doctor will schedule a next appointment to remove your stitches.
How do I get rid of dissolvable stitches in my mouth?
Health professionals use two main types of sewing: soluble sewing. These do not need to be removed. Enzymes in the body slowly break down, and eventually they break down and disappear on their own.
How do you remove dissolvable stitches in your mouth?
Melt and sew on their own. Oral surgeons use this type after removing wisdom teeth. Dissolved stitches usually disappear within a few weeks. It may take up to a month or so before your seams melt completely.
What if my dissolvable stitches don’t dissolve?
You may have an infection that needs to be treated. If the wound reopens after removing your scar, see your doctor as soon as you can. You may need additional stitches to help the wound close again.
Can I pull out dissolvable stitches in mouth?
As mentioned above, it is important that you do not remove any of the elastic stitches yourself without the approval of your doctor yet. If your doctor agrees, be sure to use a combination of tools, such as surgical scissors, and wash your hands thoroughly. You also need to sterilize the area with an alcohol swab.
What happens if you pull out dissolvable stitches?
Make sure the time is right: If you remove your stitches early, your wounds may open up again, possibly leading to infection, or possibly worsening. Make sure your doctor knows how many days you should wait before removing your sewing. If your wound looks swollen or red, do not sew.
How long do dissolve stitches last in mouth?
After this time the swelling should subside. Stitches are very stressful for patients, and many do not realize that stitches are usually not soluble. Most sutures will melt or fall off after 2-7 days.
How long does it take for dissolving dental stitches to dissolve?
Sometimes they become distractions, but this is not a cause for alarm. Just remove the cover from your mouth and discard it. Most stitches will melt over 4 to 5 days but if the stitches need to be removed no sleeping pills or needles are needed.
How long does it take for dental stitches to dissolve in your mouth?
Most sutures will melt or fall off after 2-7 days. Depending on the process and the amount of sewing required will determine how long it will take to melt. Different types of dressings can take up to two weeks or more to melt.
How long do stitches in gums take to dissolve?
When does sewing come out? Most sutures will melt or fall off within 2 days after surgery. Some types of dressing may take 2 weeks or more to melt. Your surgeon or nurse will tell you what type of dressing was used during your particular procedure.




Comments are closed.