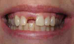
What will i look like when i have my front teeth removed and dental implants put in
Is it possible to implant front teeth?

An anterior tooth implant protects and preserves adjacent teeth. It is a cost-effective solution, especially in the long run, when it is cheaper than a three-tooth bridge. On the same subject : Clearchoice Dental Implant. One tooth implant surgery is quick and relatively comfortable. Treatment is predictable and long-lasting.
Can a tooth be pulled and implant the same day?
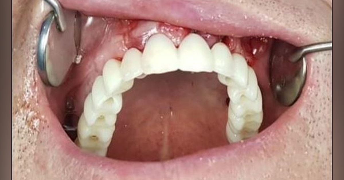
Often patients have a whole mouth full of bad teeth due to gum disease or decay or severe tooth wear. We can successfully perform a complete mouth extraction and place multiple dental implants for teeth on the same day.
How much are front tooth implants?
For example, a single dental implant typically starts at about $ 3,000. However, if you need to have a tooth extracted before implant removal, then the estimated cost can go up to almost $ 6,000. On the same subject : Denture Implants Pictures. A dental implant procedure that replaces all of your teeth can cost you a cold $ 20,000 or more.
How much are front teeth implants?
The cost of a single dental implant in California is estimated to range from $ 3,000 to $ 4,500; according to The New York Times and the American Academy of Implant Dentistry. This cost includes the implant, abutment and crown implant. To see also : How dental implants work. This can be expensive, and dental insurance can help pay for crown implants.
How long does it take for a front tooth implant to heal?

The recovery period for dental implants will rarely be less than four months, and can be extended to six months. It will be prolonged over the past six months in cases where the deterioration of the tooth has spread to the jaw.
Can you get an implant years after extraction?
Whether you stayed long after the tooth was extracted or not, there is no reason not to install dental implants. So it doesn’t matter how many years you spent; 3, 5, 10 or any number of years ago you can still access implant surgery.
How long do teeth implants take?
Implant surgery Your dentist will place a titanium implant in your jaw, just below your gums. This surgery usually takes about 1-2 hours for each implant placed. Once this step is completed, most dentists will wait about 3 months before the final restoration of the tooth replacement.
Do gums grow back after implants?
The answer is yes, gums can be pulled around dental implants. Only, when the gums are pulled on the dental implants, the implants will be exposed instead of the tooth root. Gum recession with dental implants can look unaesthetic, make patients feel self-conscious, and can even result in implant failure.
Will you lose facial features with dental implants?

Dental implants restore the appearance of teeth. Lack of teeth can significantly change the features of your face. Not only can they lead to changes in your jaw and cheeks, due to the resorption process, but the gaps missing teeth can also affect your appearance.
Does losing back teeth change your face?
Your May Facial Collapse Finally, if you miss a lot of teeth for a long time, the overall shape of the lower half of your face can change. Shrunken jaws can make your face shorter than it should be. Lowering the lower jaw can also cause the bone to rotate forward.
Is there an age limit to get dental implants?
Yes, dental implants do not have an upper age limit as long as the person is healthy and has enough jaw bones to support the implants. A person aged 80 and in good health might be more suitable to receive an implant than a 40-year-old who is a smoker in the chain or has uncontrolled diabetes.
How long after tooth extraction can an implant be done?

Early implant placement refers to implant placement 2-3 months after extraction, during which the bone heals and the site is better prepared. Early implants must be placed within this period because two-thirds of bone resorption occurs within the first three months after extraction.
Can I get a dental implant right after extraction?
If you are planning to get dental implants after tooth extraction, you will usually have to wait at least 10 weeks after tooth extraction before dental implants can be installed. This waiting period allows the mouth to heal after tooth extraction surgery.
Do you get put to sleep for dental implants?
Conclusion. Patients are usually given a sedative during dental implant surgery to protect against pain during this invasive procedure. Most patients are placed under conscious sedation, while local anesthesia is applied to the area of the mouth being worked on.
Do I really need an implant after tooth extraction?
In some cases, of course, implants are preferred, Levin said. & quot; There are several cases that usually require tooth extraction and that cannot be saved. & quot; For example, he said, teeth with vertical root fractures or other structural problems. However, some dentists recommend implants too much, he said.




Comments are closed.